Этот сайт сделан экспертами: токсикологами, наркологами, гепатологами. Строго научно. Проверено экспериментально.
Автор этой статьи, эксперт: Гастроэнтеролог-гепатолог Екатерина Кашух
Вкратце: Паренхима печени — это её функциональная ткань. Если орган болен, то паренхима уже не может полноценно выполнять свою работу. При лечении печени, кроме лекарств, необходимо поддержание здорового образа жизни: рациональное питание, снижение веса, контроль сахара в крови.
- Из каких тканей состоит печень
- Что такое паренхима
- Какова микроструктура печени
- Как меняется паренхима при заболеваниях
- Дистрофия клеток
- Некроз гепатоцитов
- Воспаление
- Фиброз и цирроз
- Симптомы поражения паренхимы
- Как проводится диагностика
- Как лечат изменения в паренхиме печени
Строение паренхимы
Паренхимой называется ткань, выстилающая почки. Она состоит из двух слоев. Первый представляет собой внешнюю оболочку. Именно тут дислоцируются клубки, которые покрываются сосудистой сеткой. Здесь происходит формирование мочи. Число клубков огромно, оно может достигать 1 000 000.
Читайте также: Быстрая диета: очищение организма на клеточном уровне
Второй слой является внутренним. По нему образовавшаяся моча, проходя через систему пирамидок, собирается в чашечно-лоханочной системе. В почке имеется 10-18 пирамидок. Своими каналами они соединены с корковым слоем.
Пытаясь ответить на вопрос: паренхима левой почки – что это такое, нужно учитывать, что именно она формирует водный баланс в теле. Ткани данного типа способны регенерировать, что отличает их от остальных.
По этой причине терапия острых заболеваний данного органа крайне важна. Отвечая на вопрос: паренхима почки в норме – что это такое, стоит обратить внимание на толщину ткани в органе. Этот параметр подвержен изменениям. Они происходят и по возрастным причинам, и из-за всевозможных инфекций, микробов. Поэтому толщину паренхимы тщательно отслеживают при наличии у пациента жалоб на болезни почек.
Причины возникновения печеночной паренхимы
Вирусы, алкоголь, осложнения прочих болезней становятся причиной патологических модификаций клеток печени.
Так как основным симптомом является желтушность кожи, необходимо разобраться как она возникает. Ее вызывает неправильное функционирование клеток печени (гепатоцитов). Они отвечают за связывание билирубина с глюкуроновой кислотой (превращение его из непрямого в прямой). Если печень повреждена или воспалена, это влияет и на ее клетки, которые в результате повреждения не способны захватывать билирубин. Из-за накопления этого пигмента в крови возникает желтуха. Еще одна причина такого симптома — застой желчи.
Существует ряд первопричин развития патологии печени:
- инфицирование вирусами (вирусными гепатитами);
- отравление токсинами (в быту, на промышленном производстве, во время лечения) и алкоголем;
- сепсис, который вызывает недостаток кислорода в клетках;
- аутоиммунный вид гепатита (иммунная система атакует печеночную паренхиму антителами).
Эхогенность
Достаточно часто пациенты получают заключение УЗИ с пометкой «повышенная эхогенность паренхимы». Несведущему в медицине человеку достаточно сложно понять, что это значит и что такое паренхима почек.
Здесь нужно учитывать, что УЗИ основывается на отражении тканями звуковых волн, и в зависимости от их плотности эхогенность будет разной. При повышенной плотности полученный результат будет выглядеть светлее. Но если ткани недостаточно плотные, изображение получится темнее. Такое явление и называют эхогенностью.
Выясняя, что такое паренхима почек, следует иметь в виду, что данная ткань однородная, и эхогенность ее низкая. Но при появлении признаков ее неоднородности, врачи отмечают повышенную эхогенность. Она, в свою очередь, характерна для ряда недугов, среди которых пиелонефрит, амилоидоз, нефропатия и некоторые другие.
Порой встречаются ситуации, когда повышенная эхогенность почек означает, что в органе начало развиваться новообразование.
Лечение
Если при диагностике органа обнаружено, что структура неизмененная, плотность и размеры в пределах нормы, воспалительных процессов нет, проблемы с печенью отсутствуют. Любые изменения паренхимы являются основанием для лечения. Обычно исследованием заключения УЗИ, других диагностик и назначением лечения занимается специалист – гепатолог.
Учитывая обширность списка возможных заболеваний, спровоцировавших изменения паренхимы, общего рецепта нет. Каждый пациент получает индивидуальные рекомендации, учитывая поставленный диагноз, его запущенность, другие факторы. Основу лечения составляет медикаментозная терапия. В таблице ниже приведены обобщенные варианты терапии наиболее распространенных причин изменений паренхимы.
| Группа препаратов | Для чего назначаются |
| Противовирусные | При токсических поражениях паренхимы вирусами |
| Гепапротекторы | «Защищают» гепатоциды |
| Фосфолипиды | Укрепляют клетки тканей, снижают некроз гепацитов |
| Аминокислоты | Оказывают общее укрепляющее действие на печень |
| Витамины В и Е | Природные гепапротекторы |
Эффективными препаратами при болезнях печени, являются гетапротекторы. Они оказывают противовоспалительное, мембраностабилизирующее, антиоксидантное, общеукрепляющее действие. Часто назначаются Фосфоглив, Эссенциале, Гепа-мерц, Гептрал.
Диета
Важной частью терапии является корректировка рациона. Печень вынуждена расщеплять все продукты, которые мы употребляем в пищу, поэтому от питания напрямую зависит успех лечения. Диета включает в себя запрет на такие продукты:
- жирное, острое, жареное;
- копчености;
- консервы;
- грибы;
- молочные продукты высокого процента жирности;
- мучное;
- сладости;
- сахар и сладкие фрукты (бананы, виноград);
- газированные напитки.
Помимо отказа от запрещенных продуктов, требуется соблюдение режима питания: необходимо кушать в одинаковое время ежедневно, небольшими порциями. Все блюда должны быть теплыми, горячее запрещено. Даже чай и другие теплые напитки необходимо остужать до температуры не выше 60 градусов.
Читайте также: Почему появляются боли в области спины – отдающие в животе и боках
Диффузные изменения
Очень часто возникает потребность разобраться в том, что такое диффузные изменения паренхимы обеих почек ввиду распространенности данного диагноза. Диффузными называют изменения в тканях у людей. И подобный термин в данном случае означает, что необходимо провести полное обследование пациента, чтобы выяснить причину отклонения в его физиологии. Как правило, диффузные изменения характерны для почек, изменившихся в размерах. Выясняя, что такое утолщение паренхимы почки, следует учитывать, что это связано с диффузией. Как правило, диффузия хронического характера приводит к подобному явлению.
В случаях, когда диффузия явно выражается, это говорит о том, что у пациента имеется врожденная аномалия, возрастные изменения, перенесенные инфекционные заболевания, хронические болезни данного органа.
Таким образом, все изменения, которые не характерны для нормы, в паренхиме называют диффузными. Ткань может стать утолщенной, истонченной, для нее бывает характерна высокая эхогенность, могут появиться новообразования доброкачественного и злокачественного характера. Нередко у пациентов возникает вопрос: киста паренхимы почки – что это такое. Это одно из наиболее часто встречающихся диффузных изменений в данном органе.
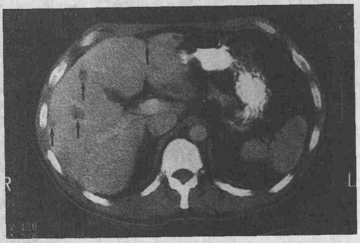
Как проводится диагностика
Выявление болезней печени проводится лабораторными и инструментальными методами. Анализ крови на печёночные пробы помогает определить наличие и степень активности воспаления, заподозрить присутствие застоя желчи, цирроза или опухолевого процесса в паренхиме.
Ультразвуковая диагностика позволяет:
- выяснить размеры, форму, контуры печени;
- оценить состояние структуры печени, жёлчных протоков и сосудов;
- увидеть очаговые изменения, наличие новообразований.
У здорового человека структура паренхимы выглядит на мониторе таким образом:
- изображение органа — мелкозернистое (много равномерно расположенных линейных и точечных структур);
- эхогенность — соответствует или немного выше эталона (им является корковый слой почек);
- звуковая проводимость глубоко расположенных структур хорошая.
При патологии паренхимы ультразвуковая картина меняется:
- Жировая дистрофия. Размеры печени могут быть увеличены незначительно, контуры у органа чёткие и ровные, форма не меняется, наружная капсула не просматривается. Структура ткани умеренно гетерогенная, сосудистый рисунок обеднён, звуковая проводимость понижена. Общая эхогенность повышена, при очаговой форме она выявляется в виде единичных объёмных образований.
- Гепатит. При острой форме болезни выявляется увеличение размеров органа. Характерны выделяющиеся сосуды. При хроническом воспалении структура паренхимы неравномерная, сосудистый рисунок обеднён.
- Цирроз. Форма органа может меняться, контуры бугристые и неровные, размеры печени могут быть как увеличены, так и уменьшены. Структура гетерогенная и неравномерная. Сосудистый рисунок бедный, расширены вены (воротная, печёночная, селезёночная).
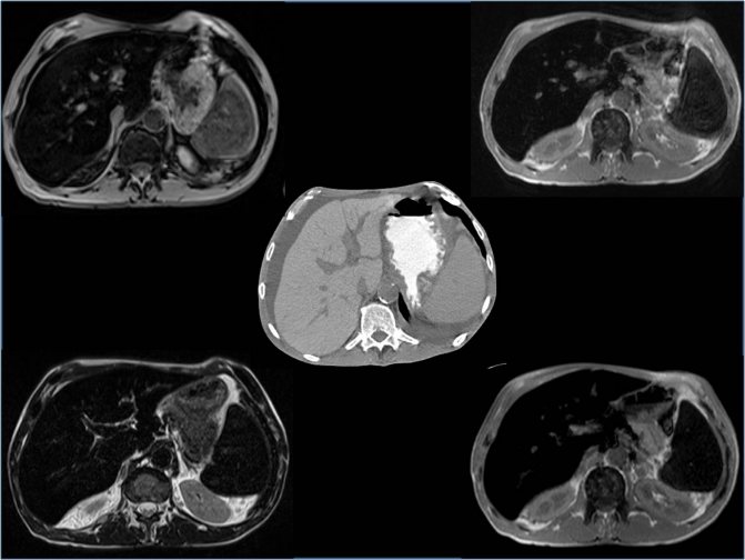
Важно! Однозначно интерпретировать выявленные на УЗИ изменения паренхимы печени не всегда представляется возможным. Для окончательной постановки диагноза может потребоваться компьютерная томография или магнитно-резонансная томография с контрастированием, иногда биопсия печени или эластометрия.
Если УЗИ оказывается недостаточно, то паренхиму печени проверяют другими методами.
Киста паренхимы
Образование кисты может начаться в любой из почек, она бывает врожденная и приобретенная. Ответит на вопрос: киста паренхимы правой почки – что это такое, обычно волнует лиц старше 50 лет. Именно пациентов в возрасте приобретенная киста поражает чаще. Но нередко встречаются и врожденные кисты.
Нужно учитывать, что данная болезнь является достаточно серьезной. Киста – полость, которая наполнена жидкостями. Знать ответ на вопрос: киста паренхимы левой почки – что это такое, важно, так как порой это образование сдавливает ткани. Заболевание может привести к проблемам с мочеобразованием.
Но если киста никак не влияет на функционирование внутренних органов, терапию не проводят. Однако поводом для оперативного вмешательства может оказаться множественность кист. И неважно, где именно они расположены, в правой, левой почке или обеих.
Что такое паренхима?
Паренхима – это совокупность клеток, то есть, ткань, которая составляет основную часть многих органов и отвечающая за их нормальное функционирование. В список органов входит щитовидная железа, почки, селезенка, печень и другие. Паренхима помогает контролировать уровень электролитов, очищать кровь и насыщать ее питательными веществами.
Читайте также: Первые признаки и особенности лечения синдрома раздраженного кишечника у детей
Кальцинаты
Нередко вопросом, что такое кальцинаты паренхимы почек, задаются пациенты нефрологов. Кальцинат является солевым отложением в данных тканях. Обычно у такой патологии диффузный характер. Ей сопутствуют склеротические процессы. Если на протяжении долгого времени не лечить данное явление, развивается хроническая почечная недостаточность.
Как только обнаруживаются кальцинаты, врачи предпринимают действия по устранению причин, спровоцировавших их развитие.
Примечательно, что спровоцировать появление кальцинатов может диета, в которой слишком много продуктов содержит соль. Помимо этого, кальцинат может указывать на то, что костные ткани поражены опухолями, метастазами.
Также развиваться отложения могут из-за того, что выведение солей из организма нарушено. Это может случиться, когда в организме имеется слишком много витамина Д.
Атеросклероз, облучение радиацией, интоксикация ртутью, прием ряда препаратов также провоцируют появление отложений.
Признаки и симптомы
Самые частые симптомы поражения паренхимы печени:
- головная боль;
- ощущение тошноты;
- горький привкус в полости рта;
- боль под ребрами в правой части;
- желтый оттенок кожи;
- слабость в теле.
Если у человека есть какие-то из перечисленных жалоб, значит, ему стоит обратиться к врачу, чтобы вовремя выявить причину и начать лечение. Первым исследованием, которое проводится, является УЗИ. В результате могут быть обнаружены различные виды повреждений в однородном строении паренхимы. Диффузные повреждения в незначительном количестве могут указывать на перенесенные недавно вирусные заболевания или плохое питание, они не страшны для здоровья человека. Но если же изменения значительны, это указывает на то, что они вызваны серьезными заболеваниями. Поэтому следует пройти дополнительные лабораторные исследования.
Необходимо знать, какие существуют признаки изменений структуры печени. Желтуха, вызванная нарушениями паренхимы, проявляется так:
- склеры окрашиваются в желтый, за ними слизистая неба и кожа (может иметь красные и зеленые оттенки);
- кожа воспаляется и зудит;
- обесцвечивается кал и темнеет моча;
- повышается температуру тела;
- человека тошнит, возникает рвотный позыв;
- болят мышцы и суставы.
У очаговых воспалений печени также есть характерные признаки:
- кальцификаты в печени (уплотнение, состоящее из солей кальция)
- кисты печени.
Киста и кальцинат
Под воздействием множества внешних факторов может начаться активный приток кальция к почкам. Последние не справятся с такой нагрузкой, и в итоге кальций начнет накапливаться в данных органах. После начнется диффузия, дистрофия, клетки отомрут. В свою очередь эти процессы приводят к тому, что соединительная ткань в почке разрастается. Начинается процесс формирования кист.
На этом фоне могут начаться обострения мочекаменной болезни, пиелонефрита и ряда других недугов. Такая клиническая картина характерна для многих пациентов нефролога.
Регенерационная способность
Регенерация паренхимы печени активизируется в ответ на гибель ее клеток. В регенерирующих клетках содержится большой запас гликогена и нормальные органеллы. Основным проявлением регенерационных процессов является ускоренное деление клеток печени. Благодаря этому тонкая печеночная поверхность разрастается и заменяет собой отмершие участки. Так же могут восстанавливаться и желчные протоки. В особо тяжелых случаях, когда печень повреждена необратимо, пациенту требуется трансплантация.
Первые симптомы
На развивающееся поражение почек указывает ряд первых симптомов, обращая внимание на которые, к врачу человек обратится значительно раньше. Это способно продлить его жизнь порой в несколько раз.
Первые симптомы, указывающие на патологию паренхимы: общая слабость, повышенная утомляемость. Пациент не склонен концентрироваться на чем-либо надолго. Может проявиться болевой синдром в мышцах, жажда, сухость во рту. Также заболеваниям сопутствуют: аритмия, боль в сердечной мышце, в пояснице. Если патология уже необратима, человека могут мучить отеки, повышение артериального давления.
Патологии печени у детей
Симптоматика заболеваний печени у детей отличаются от симптоматики у взрослых. У грудничков в первый год жизни проявляются болезни, имеющие наследственные предпосылки.
В первые 14 дней жизни у малышей выявляется дисфункция гепатобилиарной системы, в форме желтушности кожи. Состояние обусловлено внутриутробным недоразвитием каналов (атрезии), или кормлением грудничка жирным молоком. У младенца наблюдается обесцвечивание кала.
Поражение печени у грудничка также фиксируется, если женщина в период беременности перенесла острое инфекционное заболевание, регулярно употребляла алкоголь или принимала гепатотоксичные средства. Признаки болезни печени у ребенка включают нарушение усвоения пищи и сбои нервной системы.
Заболевания печени у детей на начальной стадии выявляются появлением боли в участке правого подреберья. Болевые ощущения усиливаются при приеме жирной еды и при беге. Боли являются схваткообразными, бывают распирающими или ноющими. Продолжительность боли может достигать до 15 минут.
На наличие у ребенка патологии печени указывает следующая симптоматика:
Сейчас читают: Всемирный день печени (борьбы с гепатитом) – кто и как его отмечает
- Срыгивание после приема еды;
- Тошнота и рвота с примесью желчи;
- Ощущение горечи во рту;
- Изменение цвета мочи;
- Диарея;
- Слабость и головная боль;
- Сниженный аппетит;
- Повышенный метеоризм;
- Желтушность слизистых и кожных покровов.
Ребенок плохо спит, становится капризным и плаксивым.
Причиной болей и дискомфорта в области печени у детей могут являться физические нагрузки, несбалансированное питание и преобладание жирных блюд в рационе, растяжения капсулы печени вследствие гепатомегалии, патологии желчного протока и пузыря.
Лечение ребенка организуется на основе результатов обследований. Назначается диета, цель которой — нормализация оттока желчи и уменьшение нагрузки на гепатобилиарную систему.
Читайте также: Взвесь в желчном пузыре: причины, симптомы, лечение
Медикаментозное лечение ребенка проводится с использованием противовоспалительных средств для устранения боли и снижения выраженности воспалительного процесса. Также применяются спазмолитики для расширения билиарных путей, нормализации пассажа желчи и седативные препараты. В терапию включают антибактериальные, противовирусные или противопаразитарные лекарства с целью устранения возбудителей заболеваний, в курс входят и желчегонные средства для предупреждения застоя.
При запущенности желчекаменной болезни иногда прибегают к удалению пузыря. Вмешательство проводится с помощью лапароскопических инструментов. При атрезии желчевыделительных каналов формируются анастомозы для восстановления желчеоттока.
Роль диеты
Примечательно, что в значительной мере уменьшить риск столкнуться с патологиями почек может соблюдение диеты. Важно употреблять меньше твердого сыра, пшеничных отрубей, халвы, плавленого сыра, маковых семян, подсолнечных. Не рекомендовано употребление в пищу чеснока, фасоли, творога, сметаны, овсянки, гороха. Во многом сроки выздоровления пациента будут определяться тем, на какой стадии находится болезнь, какие методы лечения избраны врачом. Существует достаточно высокая вероятность того, что у человека разовьется почечная недостаточность при игнорировании прописанной терапии и несоблюдении специальной диеты.
Лечение изменений
Лечение имеет цель выявить первопричину патологий печеночной структуры и устранить ее. Если у пациента обнаружено вирусное заболевание (гепатит), то ему назначают противовирусные препараты («Виферон», «Альфаферон»). При аутоиммунных заболеваниях больному полагается пить иммуносупрессивные препараты («Азатиоприн», «Преднизалон»). Запрещается употреблять алкоголь, чтобы не усугублять состояние паренхимы. В дополнение к основному лечению, назначаются аминокислоты, фосфолипиды и витамины. Фосфолипиды отвечают за ускоренное восстановление клеточной структуры, аминокислоты и витамины — за устранение дефицита полезных веществ.
В комплексе с медикаментами всегда идет соблюдение строгой диеты. Полностью исключаются из рациона острые, соленые, жареные и жирные блюда. Для того, чтобы помочь печени очиститься, следует кушать больше продуктов с повышенным содержанием клетчатки и калия. Эффективно заживляют печень и травяные сборы, отвары, настои. Народные средства, которые используются для восстановления печени: сок тыквы с медом, сок сливы, отвары корня цикория, шиповника, овса.
Очаговые изменения паренхимы
Важно учитывать, что кроме диффузных изменений паренхимы могут выделять и очаговые. К данной категории относят новообразования и кисты почек. Среди доброкачественных опухолей нередко выделяют аденому, онкоцитому. Как правило, они обладают крупными размерами – около 10-15 см, а порой и больше.
Примечательно, что болезни данного типа развиваются медленно, ничем не выдавая своего присутствия в организме. Первым симптом, на который обязательно нужно обратить внимание, является нарушение мочеиспускания. Ведь опухоли сдавливают мочевыводящие пути достаточно часто, затрудняя процесс.
Новообразования злокачественного типа приводят к патологическим изменениям в структуре паренхимы. В данной категории выделяют рак почек. Согласно официальным статистическим данным, опухоли почек злокачественного типа встречаются гораздо чаще, нежели доброкачественного. В 85 % всех случаев выявления опухоли паренхимы они являются злокачественными.
Опухоли в данных тканях достаточно коварны из-за отсутствия симптомов. Обычно обнаруживаются они на уже достаточно поздней стадии. И в таком случае единственный способ избавиться от них – проведение хирургической операции.
Если же речь идет о кисте паренхимы, чаще всего это одиночное либо множественное образование достигает размеров 5 см. Внутри киста наполнена жидкостью. Она точно так же, как и опухоли другого рода, способна сдавливать мочевыводящие пути. Примечательно, что мелкую кисту порой лечат без оперативного вмешательства. Больному предоставляют медикаментозную терапию.
Типы изменений
Так что это такое «патологии паренхимы», и как они проявляются? Чем они отличаются друг от друга, и почему вообще возникают? В тканях печени может произойти изменение нескольких типов: в плотности, форме и составе.
Эти отклонения подразделяются на следующие виды:
- Диффузные – изменения во всей паренхиме.
- Локальные – повреждение одной части паренхимы.
- Очаговые – уплотнение или один небольшой очаг поражения.
Очаговые изменения
Выявить очаговые нарушения в паренхиме печени можно с помощью эхографии. В результате этой процедуры определяется плотность паренхимы и очаги поражения, подразделенные на участки со слабой, смешанной, сильной эхоструктурой, или ее полным отсутствием.
Очаговые поражения могут быть множественными, сливающимися и единичными. При ухудшении состояния пациента наблюдаются изменения эхогенности пораженного участка.
Эхография также позволяет определить развитие многочисленных или единичных случаев кальцификата в паренхиме, т.е. уплотнений. У ребенка они возникают реже, чем у взрослых.
Обычно этому способствуют следующие недуги:
Очаги поражения, эхоструктура которых не была выявлена — это паренхиматозные кисты. С помощью эхограммы определить их можно только при достижении 3-5 мм в диаметре. Кистообразные образования подразделяются на несколько видов, отличающихся причиной их развития (приобретенная или врожденная) и способами появления (паразитарные, непаразитарные, ложные и истинные).
Отклонения диффузного типа
Диффузные изменения – это острый и хронический гепатит, цирроз, жировые накопления и другие нарушения структуры из-за болезней. При гепатите у человека увеличиваются размеры печени, но ее структура при этом остается без изменений.
Нарушения поверхности паренхимы возникают, если воспаление начинает расти. В этом случае утолщается тонкая стенка печени. При проведении эхографии определяется низкая эхогенность органа, но наоборот возросшая звукопроводимость.
При наличии гепатита невыраженные воспаления в паренхиме становятся причиной неоднородного уровня эхогенности. Если у пациента диагностирован цирроз, то очаги поражения с нарушенной эхогенностью начинают расти в количестве, потому как гомогенная структура печени быстро разрушается.
Параметры таких очагов могут составлять 0,5-2 см. Структура паренхимы становится неоднородной в результате нарушения обмена веществ, желчных застоев и жировых перерождений.
Первые действия
Во всех случаях, когда у человека имеются жалобы на почки, при малейших подозрениях на наличие их заболеваний, нужно обращаться к врачу. Самодиагностика здесь недопустима. Нередко именно на этом этапе человек упускает бесценное время, и болезнь начинает прогрессировать, переходя в более тяжелые стадии. Знать, что такое паренхима почек, не будет лишним ни для кого. Но полагаться исключительно на свои знания в данной области в ходе лечения недопустимо, если человек планирует прожить долгую и здоровую жизнь. На ранних стадиях заболеваний лечить их проще.
Другие методы диагностики
Современная медицина включает множество способов выявления болезней в печени, благодаря которым можно ставить наиболее точный диагноз.
Для того, чтобы получить адекватные результаты исследований, недостаточно провести больному только ультразвуковую диагностику и эхографию. Обследование должно быть комплексным и включать в себя:
- общие анализы: крови, мочи, кала;
- биохимическое исследование крови;
- ИФА, ПЦР, которые выявляют антитела способные противостоять вирусам, их ДНК или РНК и тем самым подтверждают роль в развитии заболевания.
- томография (КТ);
- биопсия печени с гистологическим исследованием фрагмента пораженного участка, делается при подозрении на цирроз (образование фиброзных узлов в печени).
Нормальные показатели
Для каждого органа существуют свои показатели общепринятых норм.
Нормальные показатели паренхимы печени:
- Края печени ровные, без каких-либо шероховатостей.
- Размер правого полушария не более 13 см, а левого не более 7 см.
- Диаметр портальной вены составляет не более 13 мм.
- Общий желчный проток размером не более 8 мм.
Нормальные показатели поджелудочной железы:
- В нормальном состоянии имеет однородную форму.
- Так же, как и у печени, края должны быть ровными.
- Длина протока не более 2 мм.
- Размер должен варьироваться от 25 до 35 мм.
- Никаких образований, по типу вздутий, опухолей и прочего быть не должно.
Нормальные показатели почки:
- Достигает в размере не более 11 см.
- Бобовидная форма, похожа на фасолину.
- Края почки сглажены.
- Масса одной почки не более 200 гр.
Строение, структура и функции
Печень имеет анатомически сложное строение.
За ребрами, в правой верхней части туловища находится печень. При ее поражении она может смещаться или увеличиваться. Паренхима органа позволяет снабжать его кровью и выводить токсичные соединения с желчью через желчные протоки. При диффузных нарушениях тканевых покровов он не может нормально функционировать, что опасно для человека возникновением интоксикации. Эта железа внутренней секреции отвечает за очищение крови, белковый, жировой и углеводный обмены.
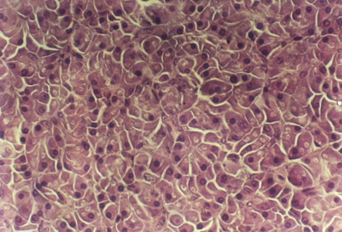
Структура паренхимы печени однородная, она представляет собой призматичной формы доли, входящие одна в другую (гепатоциты). Их количество достигает миллиона, а каждая долька имеет диаметр до 2 мм. Между ними находятся желчевыводящие пути, кровеносные сосуды и особое соединительное вещество. Такое строение позволяет осуществлять органу такие функции, как:
- Детоксикация. Паренхиматозная структура нейтрализует токсичные вещества, всасываемые кишечником, такие как лекарственные препараты, кофеин, алкоголь, консерванты и яды животного и растительного происхождения.
- Метаболизм. Налаживает биохимический метаболизм белков, жиров, углеводов, витаминов и микроэлементов. Регулирует уровень гликопротеинов, холестерина и гликогена в крови.
- Секреторная функция. Способствует выделению и транспортировке желчи по желчным протокам.
- Накопление. Сохраняет полезные продукты обмена веществ, такие как витамины групп A, B, D, C и F. С кровотоком они попадают в систему организма, помогая его жизнедеятельности.
Способность к регенерации и восстановлению поврежденной паренхимы является одной из возможностей печени. Она может возобновлять поврежденные клетки и их функции.
Повышенная эхогенность паренхимы почек – что это и чем это опасно?
Статистика показывает, что на данный момент времени все чаще прогрессируют болезни мочевыделительной системы, а именно почек.
Заболевания не всегда можно заметить по каким-либо симптомам, так как недуги протекают незаметно. Повышенную эхогенность можно распознать лишь при прохождении УЗИ почек. Стоит отметить, что УЗИ является настолько точным средством, для нахождения болезней, что способно выявить болезни на самых ранних стадиях.
Повышенная эхогенность паренхимы почек говорит о таких болезнях:
- Гломерулонефрит. Протекает в тяжелой форме, при этом паренхима почек диффузно меняет, а именно, усиливает свою эхогенность.
- Диабетическая нефропатия. Размеры почек увеличиваются, но, так называемые, пирамиды, которые располагаются в мозговом веществе, имеют пониженную эхогенность.
- Доброкачественные или злокачественные образования. На отдельных участках почек может встречаться гиперэхогенность, которая свидетельствует об образовании кисты, опухоли и других подобных новообразований.
Также повышенная эхогенность может встретиться даже у плода в утробе, такое явление говорит о том, что у матери есть какие-либо заболевания почек, о которых она не знает. Для ребенка это заболевание будет врожденным, и сопровождать его на протяжении всей его жизни.
Лечение и профилактика
Нередко неприятности с печенью сопровождаются проблемами с желчным пузырём. К сожалению, это явление довольно частое.
Чтобы восстановить или облегчить работу печени и желчного пузыря могут назначить препараты следующих групп:
- Желчегонные, увеличивающие секрецию желчи и снижающие её вязкость. Это препараты: барберин, лиобил, хологон, аллохол и др.
- Противовирусные медицинские препараты для лечения гепатита. К примеру, реаферон.
- Тетрациклиновую группу антибиотиков для борьбы с микробами и снятия воспалительных процессов желчевыводящих путей.
- Гепатопротекторы. Применяются при обострении холецистита, жировой дистрофии, желчнокаменной болезни, поражениях печени лекарственными или токсическими веществами.
Обратите внимание на ваш рацион, пересмотрите ваши привычки в питании. Следует обращать внимание на строгий распорядок принятия пищи, а также исключить из потребления жареную, копчёную, острую и жирную еду.
Читайте также: Полипы в желчном пузыре: лечение народными методами
Можно в профилактических целях принимать травяные сборы или порошок расторопши. Проводите УЗИ брюшной полости хотя бы раз в год. Это поможет обнаружить проблему ещё на ранних стадиях и своевременно заняться лечением.
Также вы можете посмотреть видеоролик о других диффузных заболеваний, в том числе узнаете более подробно о паренхиме печени.
Диффузные изменения эхоструктуры печени часто выявляют после прохождения УЗИ.
Этот диагноз может вызвать панику у пациента, но на самом деле неоднородная эхоструктура является не заболеванием, а состоянием, при котором изменяется строение и структура органа.
Диффузные изменения паренхимы и чем это опасно?
Диффузные изменения паренхимы – это изменение плотности паренхимы.
Например, при диффузном изменении паренхимы поджелудочной железы лечение не поможет и не потребуется, так как нужно лечить саму причину, которая послужила признаком изменений. К таким причинам относятся алкоголизм, курение, злоупотребление фастфудом, хронический панкреатит и другие.
При диффузных изменениях в печени лечение просто необходимо, так как печень очень важный орган, поддающийся отклонениям лучше других. Послужить изменениям могут такие причины, как чрезмерное употребление алкоголя, цирроз, набор или же резкое убавление веса, аутоиммунный гепатит и другие.
Диффузное изменение паренхимы опасно для всех органов, и приводит к тяжелым и опасным заболеваниям. Две главных причины, которые приводят к диффузному изменению – это алкоголь и сигареты. Многие врачи советуют отказаться от данных вещей, дабы обезопасить себя от таких болезней, как рак легких, цирроз печени, туберкулез и другие.
Как меняется паренхима при заболеваниях
Ткань печени под воздействием разных неблагоприятных факторов (алкоголь, вирусы, токсины) подвергается изменениям. Они могут быть различными.
Как защитить паренхиму печени от повреждения. Инфографика.
Дистрофия клеток
Дистрофией клеток называется морфологическое выражение нарушения тканевого и клеточного метаболизма. По характеру обменных расстройств бывает жировая (самая частая), белковая, углеводная, минеральная дистрофия:
- При жировом типе (липидозе) происходит увеличение концентрации нейтрального жира в цитоплазме с последующим окислением и разрушением клеток. Причинами могут стать алкогольная интоксикация, голодание, ожирение, патология эндокринной системы (диабет, болезни щитовидной железы).
- При расстройстве белкового обмена (диспротеинозе) наблюдается изменение белков цитоплазмы, разрушение мембран клетки. Причиной могут быть вирусы, алкоголь, токсины, электролитные нарушения, расстройства кровообращения.
- Углеводная (гликогеноз) дистрофия бывает врождённой (ферментопатии) и приобретённой (при диабете). Изменения в клетках обусловлены нарушением обмена гликогена (запасной формы глюкозы) и гликопротеидов (белково-углеводных соединений). Это может случиться при лейкозе, анемии, воспалении.
- Минеральная дистрофия появляется при избыточном накоплении в клетках печени меди (это наследственная болезнь Вильсона-Коновалова) или железа (гемохроматоз).
Перечисленные морфологические изменения характерны для группы болезней печени, которые называют гепатозами. Они могут приводить к развитию фиброза и цирроза печени.
Подпишитесь на наш Ютуб-канал!
Некроз гепатоцитов
Некроз гепатоцитов — это необратимый процесс разрушения ткани и смерти клеток. Может развиться при нарушении или прекращении кровоснабжения органа, а также под действием механических, инфекционных, химических, температурных факторов.
По распространению некроз бывает:
- Локальный (возникает в отдельной части печени).
- Фокальный (группа расположенных рядом долек).
- Рассеянный (в нескольких местах печени одновременно).
- Массивный (гибель большей части паренхимы).
Самые частые причины некрозов:
- вирусные гепатиты,
- обширные травмы,
- аутоиммунные патологии,
- болезни обмена,
- острые отравления, в том числе алкогольная интоксикация.
Также читайте статью о том, как выявить и лечить некротические процессы в печени, от чего зависит прогноз и как не допустить некроза клеток.
Из-за чего случается воспаление
Воспаление паренхимы начинается при поражении клеток вирусами, алкоголем, токсинами, лекарствами. Воспалительные процессы в печени называются гепатитами (от греческого «гепар»- печень, «ит» — суффикс, обозначающий воспаление этого органа). При этом:
- Отмечается дистрофия гепатоцитов, местами переходящей в некроз.
- В ответ на повреждение клеток выделяются вещества, провоцирующие воспаление, происходит повышение проницаемости сосудов.
- Это приводит к появлению воспалительной клеточной инфильтрации (уплотнения) в паренхиме.
- Конечным итогом является пролиферация — восстановление повреждённой ткани и ограничение очага воспаления за счёт образования и накопления коллагеновых волокон.
Фиброз и цирроз
В условиях хронической дистрофии гепатоцитов происходит их гибель, а на месте разрушения накапливается соединительная ткань, похожая на рубец. Постепенно нормальная паренхима всё больше и больше заменяется на функционально неактивную плотную фиброзную ткань.
Наиболее частые причины фиброза:
- алкоголизм,
- длительное воздействие токсинов,
- хронические воспалительные заболевания (вирусные гепатиты C и B),
- тяжёлые системные патологии,
- наследственность.
Фиброз может быть очаговым и диффузным (распространённым по всему органу). При отсутствии лечения рано или поздно он переходит в цирроз.
Соединительная ткань при этом пронизывает весь орган, между её волокнами за счёт регенерации пытается пробиться нормальная паренхима. Это приводит к образованию узелков и узлов. Они сдавливают сосуды, кровообращение нарушается, что усугубляет патологию.
Киста почки. Чем она опасна?
Киста паренхимы – это доброкачественный тонкостенный нарост, образованный из серозной жидкости геморрагического вещества.
Киста – это образование, размер которого варьируется
от 3 до 10 см
, наполненное жидкостью и способное лопаться само по себе.
Киста всегда образуется лишь с одной стороны, то есть, только на левой или только на правой почке. Киста правой почки может загноиться и в итоге лопнуть, также она оказывает давление на сосуды, поэтому у человека повышается давление.
Есть некоторые симптомы, которые помогут узнать: есть киста или нет?
- Кровь в моче. Нередко при наличии кисты на почках при мочеиспускании можно заметить кровяные сгустки, которые состоят из множества ниточек.
- Боль в пояснице. Данный симптом может также быть вызван и циститом. Нужно идти к врачу, который даст точный вывод.
- Повышенное артериальное давление.
УЗИ и повышенная эхогенность
Основным методом диагностики, позволяющим определить размер печени и каждой ее доли, является УЗИ. Но наиболее важным параметром считается эхогенность органа. Аппарат для ультразвукового исследования генерирует волны. Услышать или почувствовать их человеку невозможно. Ткань каждого органа по-своему реагирует на действие волн, что называется показателем эхогенности. Аппарат фиксирует отраженные волны, что позволяет делать выводы о состоянии органа.
Эхогенность отражает плотность паренхимы. Если она снижена или повышена – это признаки нарушений. Норма плотности для здоровой паренхимы печени – 58-61 HU (HU — единица измерения плотности органов при ультразвуковом исследовании). Показатель 57 и ниже – симптом пониженной плотности, выше 62 – повышенной.
Истончение паренхимы. В чем опасность?
Истончение паренхимы проявляется из-за хронических проблем в почках, которые обострились вследствие инфекции или же незаконченного лечения первичного заболевания.
Симптомами данного заболевания является боль в поясничном отделе и неприятные ощущения при мочеиспускании.
Истончение паренхимы – это не шутка и заниматься самолечением очень опасно. Истончение может привести к сморщиванию почек, и по виду они будут напоминать финики и изюм. Врачи рекомендуют после лечения какого-либо недуга почек, пройти УЗИ по истечении 2 месяцев, чтобы узнать, есть ли какое-либо развитие болезни и искоренить ее еще на первых стадиях.
Заболевание опасно тем, что в запущенной стадии может привести к удалению почки, а, следовательно, неполному их функционированию.
Симптомы поражения паренхимы
Симптомы при дистрофии соответствуют основному заболеванию. Сама печень болеть не может, так как в ней нет нервных окончаний. Боль появляется только при значительном увеличении печени и растяжении капсулы.
До этого человека может беспокоить:
- общее недомогание, слабость;
- диспепсия (тошнота, снижение аппетита);
- гепатиты из-за разрушения клеток и нарушения билирубинового обмена проявляются желтухой, потемнением мочи и осветлением кала;
- при серьёзных белковых дистрофиях появляется склонность к кровотечениям, образование синяков, отёки;
- при обширном некрозе гепатоцитов выделяется много билирубина, который поражает мозг, возникает энцефалопатия (нарушения памяти и внимания, сознания) и риск печёночной комы.
Подпишитесь на наш Ютуб-канал!
У фиброза специфических симптомов нет, патология может быть обнаружена случайно при обследовании по другому поводу. Желтуха, асцит, зуд кожи и кровоточивость появляются в запущенных случаях, уже при развитии цирроза печени. У таких больных характерными признаками также являются:
- сосудистые звёздочки на теле,
- эритема на ладонях,
- расширенная сеть подкожных вен на животе,
- скопление жидкости в животе (асцит).
Подробнее о том, как выявить эту болезнь, читайте в статье про симптомы цирроза.
Диагностика
Очень часто лечащий врач назначает пациенту ультразвуковую диагностику печени. Структура органа в нормальном состоянии однородна и слабоэхогенна. Находящиеся в ней кровеносные сосуды и протоки желчи имеют более высокую эхогенность.
Врач который проводит УЗИ хорошо видит протоки, сосуды, однородность структуры ткани. Обнаруженные диффузные изменения в паренхиме потребуют дальнейшего углублённого исследования.
Ультразвуковая диагностика может выявить даже зачаточные признаки болезни, трансформацию печени и начало воспалительных процессов:
- чтобы подтвердить наличие патологических изменений необходимо сдать кровь на биохимию и общий анализ;
- обследование на МРТ;
- рентген;
- биопсия печени;
- методом пальпации (простукивание и прощупывание) можно определить опущение и увеличение печени;
- следующим этапом будет назначение ультразвукового обследования или прохождение компьютерной томографии.
Наряду с этими обследованиями понадобится сдать кровь. Для печёночных проблем характерны следующие показатели:
- Повышенные показатели билирубина. Так можно диагностировать желтуху.
- Повышенный уровень АЛТ.
- Заниженные показатели белка в крови (альбумина).
В профилактических целях рекомендуется делать ежегодный анализ на гепатит.
Метод радионуклидного сканирования поможет выявить наличие опухоли. Он осуществляется внутривенным введением радиоактивных индикаторов, которые с потоком крови попадают в печень. Эта диагностика поможет определить наличие метастаз.
Уточняющий метод диагностики называется пункционная биопсия. Иглой берут печёночную пробу для дальнейшего лабораторного исследования.
Профилактика заболеваний печени
Чтобы предотвратить развитие изменений паренхимы при различных заболеваниях печени, необходимо соблюдать простые правила. Такая профилактика будет полезна для нормальной работы не только печени, но и других внутренних органов.
Основными рекомендациями специалистов являются:
- Правильно питайтесь. Каждый день в рационе должны быть нежирные сорта мяса или рыбы, овощи, фрукты. Избегайте жирной, жареной пищи. Также полезны продукты с повышенным содержанием клетчатки: крупы, цельнозерновой хлеб, овощи.
- Следите за весом. Переедание и, как следствие, ожирение оказывает негативное действие на печень. Если человек постоянно кушает много, она просто не успевает расщеплять все ферменты. Однако, если вам нужно похудеть, избегайте жестких диет, лучше придерживаться принципов правильного питания, заниматься спортом.
- Не злоупотребляйте алкоголем. Если заболеваний печени пока нет, необходимо придерживаться установленных допустимых норм алкоголя. Для женщин – 12 г этанола в сутки, для мужчин – 24 г. Если уже имеются хронические заболевания, от алкоголя необходимо полностью отказаться.
- Избегайте стрессов. Из-за постоянных стрессов и выработки адреналина увеличивается давление на печень. Старайтесь жить размеренно, при необходимости обращайтесь к психотерапевтам.
Таким образом, паренхима печени или ее ткань – первое, что реагирует на начало развития заболеваний. Если начинаются диффузные или очаговые изменения, требуется диагностика органа, установление причины и подбор соответствующего лечения.
В человеческом организме, в процессе жизнедеятельности или от вредных привычек, скапливаются токсические продукты полураспада. Паренхима печени представляет собой ткань, из которой состоит эта железа, выполняющая фильтрацию крови и очистку организма. Благодаря ее функционированию осуществляется вывод ядовитых веществ, остающихся после переработки продуктов, лекарств, алкоголя или вследствие плохой экологии.















