Отек легких (ОЛ) – это клинический синдром, связанный с накоплением излишней жидкости в интерстициальной ткани и/или альвеолах и проявляющийся нарушениями процесса газообмена в легких, ацидозом (смещением кислотно-щелочного резерва крови в кислую сторону) и гипоксией органов и тканей.

Данное патологическое состояние чаще всего развивается у взрослых людей старше 40 лет. Оно может осложнять течение различных заболеваний в кардиологии, пульмонологии, акушерстве, педиатрии, отоларингологии, гастроэнтерологии, неврологии, урологии.
Предрасполагающие факторы отека легких
Провоцирующим фактором может быть эмоциональный, физический стресс, а также переохлаждение. Вследствие увеличения нагрузки на левый желудочек сердце не справляется и в легких образуются застойные явления. Избыток капиллярной крови приводит к выходу жидкости в альвеолы и легочную ткань. В результате этого в легких нарушается газообмен, кислорода в крови становится недостаточно, миокард ослабляется. Расширяются периферические сосуды, увеличивается приток венозной крови к сердечной мышце, и легкие наполняются большим объемом крови. В таком состоянии больному срочно необходима неотложная помощь, так как без лечения наступает смерть.

Атеросклеротический кардиосклероз – это хроническая стадия ишемической болезни сердца. Возникает данная патология вследствие недостаточного кровоснабжения миокарда, приводящего к длительной гипоксии клеток. При прогрессировании заболевания симптомы сердечной недостаточности нарастают и приводят к смерти больного. Причина смерти – отек мозга и легких.

Последствия заболевания
Каждому человеку необходимо знать, чем опасен отек органа дыхания. Потому что отек легких может иметь серьезные последствия. Под действием определенных факторов приводит к выходу жидкости в легочную ткань, которая не всасывается обратно.
Часто смерть наступает в результате отека легких. После купирования приступа и предотвращения удушья начинают лечение. При отсутствии терапии патология может спровоцировать такие осложнения, как рецидивирующая пневмония. Длительная дыхательная недостаточность негативно влияет на все внутренние органы: нарушается кровообращение мозга, развивается кардиосклероз, происходит ишемическое поражение органов. Заболевания требуют постоянной медикаментозной терапии.
Наиболее распространены следующие осложнения:
- Кардиогенный шок. Вследствие накопления жидкости в дыхательном органе у пожилых людей развивается сердечная недостаточность. Снижается кровоснабжение органов. До 90% случаев все заканчивается смертью пациента.
- Асистолия. Сердечная система полностью прекращает свою деятельность. Провоцируют проблему инфаркт или тромбоэмболия легочной артерии. Сердечная астма провоцирует отек легких и ухудшает состояние пациента.
- Пневмоторакс. Развивается на фоне отека. Характеризуется скоплением воздуха в плевральной полости.
Своевременное лечение дает положительный прогноз на дальнейшее развитие событий. Терапия под контролем специалистов позволит остановить поражение органов и развитие пневмонии.
Особенности отека легких у детей
В отличие от взрослых развитие отека легких у детей не зависит от времени суток. Основной причиной отека легких является аллергическая реакция или вдыхание различных токсических веществ. Ребенок очень сильно пугается, так как ему становится трудно дышать из-за нехватки воздуха. Появляется одышка – это один из самых первых признаков. Выделяется пенистая мокрота розового цвета, образуются хрипы, одышка, кожные покровы приобретают синеватый оттенок. Патология встречается у детского населения всех возрастных групп и даже у новорожденных.
Сроки лечения
Сроки лечения будут зависеть от типа патологии, возраста больного, его общего состояния здоровья и многих других факторов. В среднем лечение продолжается от недели до месяца.
Если отекание проходит без осложнений, при условии оказания адекватной терапии, вылечить его можно максимум за десять дней.
Наиболее опасным и склонным к рецидивированию видом отека считается токсический, поэтому пациенты с таким заболеванием должны находиться под присмотром медперсонала не менее 3 недель.
Виды отека легких
Кардиогенный отек вызван нарушением кровообращения. Сердечная астма – первый признак, проявляющийся в учащении дыхания, одышкой в состоянии покоя, удушьем и возникновением чувства нехватки воздуха. Приступы возникают в ночное время. Больной моментально просыпается и старается выбрать положение, в котором легче дышать. Обычно пациент садится и руками опирается на край кровати. Такая поза называется ортопноэ и характерна она для каждого пациента при вышеописанных симптомах. Кожные покровы бледнеют, губы синеют – так проявляется гипоксия.
При нарастании клиники отека легких дыхание становится шумным, иногда выделяется большое количество пенистой мокроты, окрашенной в розоватый цвет. В альвеолы начинает проникать кровь. Симптомы уходят при своевременном лечении в среднем через три дня. Смертельный исход от этого вида отека встречается наиболее часто.
Некардиогенный имеет несколько форм. Причиной отека может стать повреждение альвеолокапиллярной мембраны токсинами, химическими средствами, аллергенами. Лечение более длительное, в среднем около четырнадцати дней. По частоте возникновения кардиогенный отек встречается довольно часто. Самая распространенная причина смерти от отека легких при болезни сердца – это инфаркт.
Классификация
В зависимости от недугов, которые могут привести к отеканию, различают кардиогенный отек и некардиогенный.
Причиной сердечного отека могут стать различного рода заболевания и нарушения в работе сердца и системы сосудов, включая инфаркт миокарда, мерцательную аритмию, кардиогенный шок, стриктура митрального клапана, учащающееся сокращение предсердий при сохранении сердечного ритма и гипертонический криз. Кардиогенное отекание чаще всего провоцирует инфаркт миокарда.

Некардиогенную отечность провоцируют причины, не связанные с сердечно-сосудистой системой, поэтому выделяют несколько подвидов этого недуга.
| Вид | Описание |
| Токсический отек | Может быть спровоцирован проникновением в нижние дыхательные пути токсических ядов и испарений. Проявляется в виде кашля, отдышки, слезоточивости по причине раздраженности слизистых в верхних и нижних путях с последующим отеканием легких. Это стремительно развивающийся и острый отек, который требует незамедлительной врачебной помощи, поскольку уже через несколько минут после вдыхания токсинов у человека может остановиться сердце и дыхание из-за угнетения токсинами деятельности продолговатого мозга. |
| Аллергический отек | Его может спровоцировать укус насекомого или контакт с каким-либо аллергеном.
|
| Нейрогенный | Это очень редкая разновидность легочного отекания, при которой нарушается обеспечение нервами сосудов дыхательных органов и происходит спазмирование вен в них, что приводит к подъему давления крови на сосуды, вызванного силой тяжести, и к отеканию легких. |
| Раковый | Он развивается на фоне роста онкологического новообразования в легких. Из-за выроста нарушается работа лимфатической системы, происходит закупорка лимфоузлов или лимфостаз, что приводит к скоплению жидкости в легочных пузырьках. |
| Травматический | Чаще всего его провоцирует накопление воздуха в плевральной полости с последующим повреждением плевры и выходом жидкостных элементов крови из поврежденных сосудов в легочные пузырьки. |
| Шоковый | Является последствием шокового состояния, из-за которого резко ухудшается функциональность левого желудочка, провоцируя застойные процессы в легочном кровотоке, что приводит к подъему давления в крови, вызванного силой тяжести, действующей на нее, и к отеканию легких. |
| Аспирационный | Формируется вследствие забрасывания содержимого пищеварительного тракта в бронхи, при этом закупориваются дыхательные пути, и развивается мембраногенный отек. |
| Высотный | Встречается достаточно редко, так как он возникает при восхождении на горные высоты свыше трех с половиной км, когда резко увеличивается давление в кровеносных сосудах легких, а их стенки становятся более проницаемыми из-за возрастающей гипоксии. |
Формы некардиогенного отека легких
- Токсический. При попадании газообразных веществ или паров токсической природы в дыхательные пути развивается этот вид отека. Клиническая картина: одышка, кашель. В результате воздействия раздражителей на слизистые оболочки дыхательных путей образуется слезотечение. Течение токсического отека легких сложное, иногда уже на первых минутах после вдыхания токсических веществ может произойти остановка сердца или дыхания, вследствие угнетения функций продолговатого мозга.
- Раковый. Образуется при опухоли легкого злокачественного характера. При этой патологии нарушается функция лимфатических узлов, что впоследствии приводит к накоплению жидкости в альвеолах.
- Аллергический. Отек возникающий при чувствительности к определенным видам аллергенов, например, к укусу осы или пчелы. При несвоевременном устранении раздражителя существует опасность развития анафилактического шока, а иногда и смертельного исхода.
- Аспирационный. При этом отеке содержимое желудка попадает в бронхи. Дыхательные пути забиваются, и происходит отек.
- Шоковый. Такой вид отека легких является следствием сильного потрясения. Насосная функция левого желудочка при возникновении шока снижается, как следствие образуются застойные явления в малом кругу кровообращения. В результате внутрисосудистое гидростатическое давление повышается и жидкость из сосудов проникает в ткани легких.
- Высотный. Довольно редкий вид отека легких, возникновение которого возможно при подъеме на горную возвышенность выше четырех километров. На такой высоте нарастает кислородное голодание вследствие повышения давления в сосудах и увеличения проницаемости капилляров, что в конечном итоге неизбежно ведет к отеку.
- Нейрогенный. Достаточно редкий вид отека. При этом патологическом состоянии иннервация сосудов дыхательной системы нарушается и образуется спазм вен. Такие изменения ведут к увеличению внутри капилляров гидростатического давления крови. Жидкая часть крови попадает в межклеточное пространство легких и далее, в альвеолы, образуя отек.
- Травматический. Возникает чаще всего при пневмотораксе, т. е. при состояниях, когда нарушается целостность плевры. Капилляры, располагающиеся около альвеол, при пневмотораксе повреждаются. Таким образом, жидкая часть крови и эритроциты проникают в альвеолы, вызывая отек легких.
Механизм развития
В основе патологического механизма развития основную роль играют нарушения проницаемости мембраны между альвеолами и капиллярами, снижение коллоидно-осмотического и увеличение гидростатического давления в сосудах микроциркуляторного русла.
В начальной стадии происходит пропотевание транссудата в интерстициальную легочную ткань. Избыточное его накопление и обуславливает развитие сердечной астмы (интерстициального отека легких).
Дальнейшее нарастание отечности тканей способствует проникновению транссудата в полость альвеол, где он смешивается с воздухом с образованием пены. Эта пена и препятствует нормальному газообмену. Данная стадия называется альвеолярным отеком.
На фоне нарастающей одышки происходит прогрессирующее снижение внутригрудного давления. Это усиливает приток крови к правым отделам сердца и вызывает прогрессирования застоя в сосудах малого круга кровообращения. В свою очередь, это способствует дальнейшему нарастанию отечности интерстициальных тканей, происходит формирование порочного круга.
Классификация заболевания
В зависимости от причины можно выделить следующие виды отека легких у больного:
- Мембранозный. Происходит в результате токсического воздействия на капиллярные и альвеолярные стенки, которые впоследствии разрушаются.
- Гидростатический. Образуется при увеличении внутрисосудистого гидростатического давления. Причиной служит сердечно-сосудистая недостаточность.
Формы осложнений отека легких:
- Интерстициальная. Прекрасно лечится. Однако несвоевременная медицинская помощь провоцирует ее переход в альвеолярную стадию.
- Альвеолярная. Самая опасная. Последствия ее — смерть пациента.
Классификация по степени тяжести симптомов:
- Первая или предотечная. Для нее характерно расстройство ритма и частоты дыхания, наличие небольшой одышки.
- Вторая. Одышка усиливается, появляются хрипы.
- Третья. Симптомы нарастают: хрипы и одышка слышны на расстоянии от больного.
- Четвертая. Присутствуют все характерные черты отека легких.
Причины
Виновник данного состояния – застойные явления в малом круге кровообращения или токсическое поражение легочных сосудов. Люди, далекие от медицины, считают, что отек являет собой самостоятельное заболевание. Однако, это мнение ошибочно.
Подобный синдром представляет собой следствие запущенности различных патологий:
- Кардиологических: кардиосклероз (атеросклеротический и постинфарктный), ОИМ (острый инфаркт миокарда). Подобная картина встречается при миокардитах и гипертонических кризах, особенно на фоне эндокардита инфекционного генеза и сердечной недостаточности. ОЛ наблюдается у пациентов с кардиомиопатиями, аортитом, аритмиями. Отек может стать следствием врожденных или приобретенных пороков сердца (аневризмы и коарктации аорты, синдрома Эйзенменгера, аортальной недостаточности, стеноза митрального клапана), а также развиться у лежачих больных.
- Пульмонологических: тяжелая крупозная пневмония и запущенный бронхит в обструктивной форме, эмфизема и пневмосклероз, туберкулез. ОЛ в практике пульмонологов встречается при бронхиальной астме, тромбоэмболии легочной артерии и новообразованиях различного генеза в структуре легких. Легочный отек нередко возникает после повреждения грудной клетки, протекающего с синдромом длительного сдавления (карминовый отек) или пневмотораксом, плевритом.
- Токсический отек развивается от никотиновой, наркотической и алкогольной интоксикаций, отравлений химическими веществами (кислотами и газами, солями различных металлов, фторсодержащих полимеров). Вероятно осложнение при обширных ожогах, септическом и анафилактическом шоках.
- У новорожденных образование отека связано с бронхолегочной дисплазией, недоношенностью или гипоксией. В педиатрической практике легкие отекают при сужении просвета дыхательных путей из – за ларингита в острой форме, инородных предметов, воспаленных аденоидов.
- Подобный механизм формирования синдрома отмечается при длительной искусственной вентиляции легких, торакоцентезе с одномоментным удалением из плевральной полости большого объема жидкости, а также при асфиксии в результате утопления, удушения или аспирации желудочного содержимого в легкие.
- Осложнение болезней, имеющих инфекционную природу и сопровождающихся высокой степенью интоксикации: полиомиелит, грипп, столбняк, скарлатина, корь, коклюш, дифтерия, ОРВИ, брюшной тиф.
- Неврологические: менингит, инсульт, субарахноидальные кровоизлияния, новообразования головного мозга, травмы и трепанации черепа, энцефалит.
- Нефрологических: гломерулонефрит, хроническая почечная недостаточность и нефротический синдром.
- Гастроэнтерологических: цирроз печени, непроходимость кишечника, панкреатит в фазе обострения.
Сердечно-сосудистые патологии выступают основным фактором риска развития, так называемого, гидростатического ОЛ. Отмечается повышение давления внутри сосудов на фоне системной патологии, что способствует переходу жидкости из капилляров в интерстициальное пространство, затем в легкие.
Частичное нарушение целостности или полный разрыв капилляров в результате токсического воздействия являются катализатором выхода жидкости во внесосудистое пространство, а далее в легкие. Негативная симптоматика довольно быстро нарастает, приводя к резкому ухудшению состояния пациента. Подобный вид ОЛ называют мембранным, он оставляет слишком мало времени для оказания медицинской помощи.
Термин отек легких объединяет в себе комплекс клинических проявлений, которые спровоцированы скоплением жидкости в паренхиме легких.
Интерстициальный отек легких: симптомы
Признаки заболевания проявляются в основном в ночное время. Эмоциональное или физическое перенапряжение может спровоцировать развитие симптома отека легких. Начальный признак – это покашливание. К сожалению, на него не обращают внимания. В утренние часы симптоматика нарастает. Кожные покровы бледнеют, одышка проявляется даже в покое. Человек не может вдохнуть полной грудью, наступает кислородное голодание, сопровождающееся головными болями и головокружением. Кожа становится влажной и потной, вырабатывается большое количество слюны, носогубный треугольник синеет – это важные признаки интерстициального отека легких.
Виды заболевания
В зависимости от причин спровоцировавших проблему выделяют два вида отека легких: кардиогенный и некардиогенный.
Кардиогенный тип возникает при недостаточности левого желудочка сердца и нарушении кровообращения в сосудах, которые участвуют в переносе крови от сердца к легким и наоборот. Основным причинами патологии являются: порок сердца, инфаркт миокарда, артериальная гипертензия, стенокардия. Для подтверждения диагноза пациентам измеряют давление в капиллярах легких, которое повышается выше 30 мм рт.ст. Чаще всего отек легких возникает у лежачих больных ночью.
К основным причинам данной патологии относятся: дефекты сердца и сосудов, миокардит, острая недостаточность левого желудочка, инфаркт миокарда, застой крови и пороки сердца.
Главными признаками кардиогенного отека являются:
- нарастающий кашель;
- удушье;
- гипергидратация тканей;
- одышка;
- отделение пенистой мокроты;
- сухие хрипы;
- нестабильное кровяное давление;
- тахикардия и сильная боль в грудной клетке.
Кардиогенный тип протекает быстро и времени на оказание первой помощи пациенту очень мало. Наибольший процент смертности приходится на этот вид.
Некардиогенный тип провоцирует повышение проницаемости сосудов и проникновение жидкости сквозь стенку легочных капилляров. Альвеолы заполняются жидкостью, и нарушается газообмен. Патология развивается при почечной недостаточности, сепсисе, пневмосклерозе, циррозе печени, раке легких и наркозависимости. Также в группу риска входят люди, которые принимают ацетилсалициловую кислоту длительное время. Подтверждением некардиогенного отека является хорошие показатели давления и сердечного выброса.
Аллергический
Возникает при повышенной чувствительности к определенным аллергенам. Спровоцировать проблему может прием лекарств или укус насекомых. Если своевременно не устранить причину, провоцирующую аллергический отек легких, может произойти анафилактический шок и смерть.
Механизм развития отека легких отличается стремительностью и без экстренной помощи последствия могут быть фатальными. Характерными признаками являются припухлости на разных участках тела: веках, губах, носоглотке, лице, гортани. Такое состояние возникает внезапно, начинается с покраснения и зуда кожных покровов. Затем появляется сдавливание в области грудной клетки, хрипы, затруднение дыхания и одышка. Редко могут появляться боли в животе, тошнота, рвота и недержание кала и мочи.
Единственный эффективный способ лечения заключается в исключении аллергена. Для того чтобы облегчить состояние пациента его необходимо усадить.
Острый
Развивается острый отек легких очень быстро примерно до 4 часов. Даже при оперативных реанимационных мероприятиях предотвратить летальный исход можно не всегда. Так происходит потому, что в легких собирается такое количество сыворотки крови, что дыхание становится практически невозможным. В некоторых случаях приступ удается купировать с помощью медикаментов.
Рекомендуем дополнительно прочитать Жидкость в сердце: причины и лечение
К основным факторам, провоцирующим патологию, относятся: анафилаксия и миокарда. Также, она может возникнуть в результате получения тяжелых черепно-мозговых травм, энцефалите и менингите.
Интерстициальный
Сердечная астма является проявлением интерстициального отека легких. Спровоцировать такое состояние может физическое или эмоциональное перенапряжение. В основном проблема дает о себе знать в ночное время. Первый тревожный звоночек – легкое покашливание. Но на него не обращают внимания, и проблема усугубляется: появляется одышка и человек не может вздохнуть на полную грудь. Затем из-за кислородного голодания появляется головная боль и головокружение. На кожных покровах проступает пот, начинается обильное слюноотделение и синеет носогубный треугольник.
Заболевание хорошо поддается лечению. Но при отсутствии своевременной терапии переходит в самую опасную стадию – альвеолярную.
Карминовый
Свое название карминовый отек легких получил из-за характерного красного цвета легочной ткани. Появляется данная проблема в результате ограничения дыхательных движений и задержки выталкивания крови из легких. Происходит застой крови в сосудах и повышение интракапиллярного давления. Достаточно распространен такой отек при общем переохлаждении организма.
Симптомы альвеолярного отека легких
Нижеперечисленные признаки альвеолярного отека можно охарактеризовать как внезапные, если это не осложнение интерстициального отека легких. У больного:
- нарастает одышка и может развиться удушье;
- дыхание до 40 раз в минуту;
- сильный кашель, возможно отделение мокроты с кровью и пеной;
- тревожность и страх охватывают пациента;
- дерма бледнеет;
- язык белеет;
- цианоз;
- давление снижается;
- наблюдается сильное потоотделение;
- лицо опухает.
Прогрессирование патологического состояния приводит к тому, что из ротовой полости начинает выделяться пена, хрипы становятся клокочущими и громкими, возникает спутанность сознания. Человек впадает в кому и наступает смерть вследствие асфиксии и кислородного голодания.
Последствия и осложнения
Легочное отекание очень опасно своей склонностью к развитию осложнений, даже когда патология купирована. Если заболевание протекало очень тяжело, то есть высокая вероятность возникновения таких последствий:
- присоединяется вторичная инфекция. Может развиваться воспаление легких. При сниженных защитных функциях организма даже бронхит может закончиться тяжелыми последствиями. Воспаление легких в сочетании с их отеком достаточно сложно поддается лечению;
- кислородное голодание, характерное для отека, может поражать важные для жизнедеятельности человека органы, включая головной мозг и сердце. При этом последствия такого влияния могут оказаться необратимыми и без серьезной медикаментозной поддержки, безусловно, приведут к смерти пациента;
- поражение внутренних органов и систем ишемического характера;
- пневмофиброз, сегментарные ателектазы.
Отек легких у новорожденных детей
Причинами отека легких у новорожденных является:
- Попадание околоплодных вод в бронхи и альвеолы.
- Отмирание клеточной ткани определенного участка плаценты или инфаркт плаценты. При этой патологии кровоснабжение плода нарушается и высока вероятность образования гипоксии.
- Пороки сердца. При сужении артериального клапана и недостаточности митрального клапана давление в малом кругу кровообращения увеличивается. Эти недуги провоцируют попадание крови в легкие и затем в альвеолы.
- Травма головного мозга во время родов или предродовая в результате которой нарушается кровоснабжение всего организма. В итоге кислородное голодание и, как следствие, отек легких.
Лечение
Лечение данного состояния осуществляется исключительно в условиях стационара. Крайне важно, чтобы помощь пациенту была оказана еще во время его транспортировки в отделение. Терапевтическое воздействие проводится под пристальным контролем коэффициентов оксигенации (насыщение кислородом) и гемодинамики.
В стационаре принимаются следующие меры:
- Обеспечение пострадавшему удобного сидячего или удобного полусидячего положения.
- Для оттока крови от сердца и легких поочередно на конечности накладывают жгуты.
- Кислородные ингаляции через маску или носовой катетер.
- Кровопускание, обеспечивающее изменение объема венозного возврата к сердцу.
- Введение нейролептиков для купирования болевого синдрома.
- Удаление пены и избытка жидкости из трахеи и крупных бронхов.
- Коррекция электролитного и кислотно – щелочного балансов, сердечных сокращений.
- Нормализация гидростатического давления в малом круге кровообращения благодаря применению наркотических анальгетиков. Препараты данного типа снижают приступ одышки за счет угнетения дыхательного центра. В результате приема средств снижается артериальное давление и объем венозного протока, притупляется чувство тревоги.
- Введение ганглиоблокаторов к правому желудочку для уменьшения венозного притока.
- Восстановление проходимости дыхательных путей в случае ее утраты.
- Введение сердечных гликозидов, усиливающих сократительную возможность миокарда.
- При необходимости проведение реанимационных приемов.
Пациентам с ОЛ показано назначение средств, уменьшающих давление, а также антигистаминных и тромболитических препаратов. Могут быть назначены антибиотики, антиаритмические и гормональные средства, внутривенное введение коллоидных и белковых растворов.
Терапия проводится до нормальных показателей сердечных сокращений, артериального давления (не более 140/85 мм рт. ст.), частоты дыхательных движений, цвета слизистых и кожных покровов. Отсутствие хрипов и розовой мокроты является ключевой задачей. При грамотной и своевременно оказанной квалифицированной помощи удается купировать тяжелое состояние. После исчезновения отека, начинается длительное лечение ведущего заболевания, которое привело к негативным последствиям.
Неотложная помощь при отеке легких
Отек легких — это серьезное и тяжелое патологическое состояние, требующее срочного оказания медицинской помощи.

- Пациенту придают особое положение: ноги опускают, а руками больной опирается на край кровати. Такая поза способствует снижению давления в грудной клетке и улучшению процесса газообмена. Одышка уменьшается за счет снижения застоя в малом кругу кровообращения.
- Максимум на тридцать минут на верхнюю часть бедра нижних конечностей накладывают венозные жгуты. В результате поступление венозной крови к сердцу снизится и, как следствие, клиническая картина будет менее выражена.
- В помещении открывают окна, чтобы у больного был доступ к свежему воздуху. Нахождение в духоте утяжеляет патологическое состояние.
- В случае если отек легкого стал следствием инфаркта, то применяют препараты из группы нитратов, например, нитроглицерин.
- Ведется мониторирование дыхания и пульса больного.
- Для нейтрализации пенообразования хороший эффект оказывает вдыхание паров 30%-ного этилового спирта.

Прогноз и профилактика
Независимо от происхождения патологии прогноз по ней всегда очень серьезный.
Если имеет место острый альвеолярный тип отечности, то смертность достигает 20-50%, если же легкие отекают на фоне инфаркта миокарда или в результате анафилактического шока, летальный исход фиксируется в 90% случаев.
Но даже при своевременном излечении есть высокая вероятность возникновения тяжелых осложнений в виде ишемического поражения внутренностей, застойного воспаления легких, атеросклерозов легкого и т.д. Если же была выявлена и устранена истинная причина развития отечности, то остается высокий риск рецидивирования патологии. Чем раньше начата патогенетическая терапия, тем больше шанс на благоприятный исход лечения.
Чтобы предотвратить развитие отека, нужно своевременно диагностировать и лечить заболевания, которые могут его спровоцировать. Своевременная компенсация сердечных недугов, предотвращает развитие кардиогенных отеков, которые диагностируются чаще остальных видов. Пациентам с сердечной недостаточностью для недопущения отечности нужно придерживаться диетического питания, ограничивать суточное потребление поваренной соли и соблюдать питьевой режим, не есть жирное, исключать физическую активность, которая провоцирует одышку.
Второе место по распространенности занимают отеки, вызванные хроническими патологиями органов дыхательной системы. Чтобы компенсировать их, пациенту нужно постоянно находиться под наблюдением специалистов, не избегать поддерживающей терапии в условиях амбулатории, дважды в год ложиться в стационар, не курить, исключить контакт с аллергенами и т.д. Чтобы не допустить отек, важно предупреждать или своевременно и результативно лечить острые легочные недуги.
Осложнения отека легких
Серьезные патологические состояния, которые возможны после отека легких:
- Асистолия. Это состояние, при котором полностью прекращается работа сердечной деятельности. Провоцируют ее следующие патологии: тромбоэмболия легочной артерии или инфаркт, приводящие к отеку легких и впоследствии к асистолии.
- Угнетение дыхания. В основном бывает при токсическом отеке легких, возникающем при отравлении барбитуратами, обезболивающими наркотическими и другими препаратами. Лекарства воздействуют на дыхательный центр, угнетая его.
- Молниеносная форма отека легких. Одно из серьезнейших последствий отека легких. Развивается по причине декомпенсации заболеваний почек, печени и сердечно-сосудистой системы. При этой форме клиника развивается стремительно, а шансы спасти больного практически равны нулю.
- Закупорка дыхательных путей. Из жидкости, которая скопилась в альвеолах образуется пена. Большое ее количество закупоривает дыхательные пути, нарушая газообменный процесс.
- Кардиогенный шок. Последствия отека легких у пожилых проявляются недостаточностью левого желудочка сердца. Состояние характеризуется существенным снижением кровоснабжения органов и тканей, что ведет к угрозе жизни больного. Артериальное давление при этом снижается, кожные покровы синеют, количество выделенной мочи за сутки уменьшается, сознание становится спутанным. В 80–90% кардиогенный шок приводит к летальному исходу ввиду того, что за малый промежуток времени нарушаются функции сердечно-сосудистой, а также центральной нервной системы.
- Нестабильная гемодинамика. Состояние проявляется перепадами давления: оно то понижается, то повышается. В результате терапия затруднительна.
Диагностика
Отек легких требует дифференциальной диагностики со следующими заболеваниями:
- пневмония;
- гипервентиляционный синдром;
- тромбоэмболия легочной артерии;
- бронхиальная астма.
Пациенту, прежде всего, снимают ЭКГ и делают рентген органов грудной клетки. Дальнейшее обследование включает:
- Эхо-КГ;
- катетеризация легочной артерии с целью определения давления крови в ней;
- исследование функции внешнего дыхания;
- исследование кислотно-щелочного резерва крови.
Профилактика
Профилактические мероприятия нацелены на устранение причины смерти от отека легких и сводятся к регулярной лекарственной терапии сердечной недостаточности и соблюдению диеты, направленной на снижение употребления соли и жидкости. А также рекомендованы легкие физические нагрузки. Обязательно диспансерное наблюдение по месту жительства пациента.
Отек легких – это опасная патология, которая требует быстрого оказания медицинской помощи. Успех проводимых лечебных мероприятий находиться в зависимости от степени тяжести отека, его формы, а также наличия у больного сопутствующих болезней, например, порок сердца, гипертония, сердечная, почечная и печеночная недостаточность в хронической стадии.
Прогноз
После перенесенного ОЛ прогноз редко бывает благоприятным и радужным. Для полной стабилизации состояния пациенту необходимо находиться под постоянным наблюдением на протяжении года. Эффективное лечение главенствующего заболевания улучшает не только прогноз, но и качество жизни человека.
При ОЛ ухудшить прогноз могут следующие состояния:
- инфаркт миокарда;
- асистолия;
- кардиогенный шок;
- цирроз печени;
- расслаивающая аневризма аорты;
- нестабильная гемодинамика.
Прогнозы относительно дальнейшего состояния пациента и его жизнедеятельности основываются на видах и причинах отека, его степени тяжести, сопутствующих патологий и от того, насколько быстро и грамотно была оказана врачебная помощь.
Как предотвратить смерть?
Для этого требуется своевременно распознать отек. Трудность диагностики заключается еще и в том, что патологические процессы развиваются, когда больной спит. Симптомы, которые указывают на начало развития отека легких как причины смерти:
- одышка;
- подушечки пальцев и губы приобретают синий оттенок;
- учащенное дыхание;
- кашель нарастающей силы;
- приступы удушья;
- появление болевых ощущений за грудиной;
- слабый и частый пульс.
Доктор прослушивает свистящие, сухие хрипы. Давление может как резко снижаться, так и резко подниматься. Первое более опасно.
К сожалению, смерть от отека легких может наступить и после выполнения всех необходимых врачебных вмешательств и манипуляций. Важно помнить, что неотложная помощь, оказанная больному — это обязательный этап терапии, который повышает шансы на выживание и дает возможность исключить отек легких как причину смерти.
Методы диагностики
Прежде чем проводить диагностические мероприятия и определять, как лечить отек, следует тщательно собрать историю болезни и установить точную причину развития недуга. Если больной находится в спутанном сознании, нужно обратить внимание на сопутствующую симптоматику. План диагностических мероприятий и последующей терапии в каждом случае подбирается индивидуально в зависимости от клиники заболевания и причин, его спровоцировавших. Общими для всех ситуаций являются следующие диагностические манипуляции:
- определение перкуссии грудной клетки. Если она имеет место, значит, в легких развивается патологический процесс;
- выслушивание легких. При этом недуге можно выслушать жесткое дыхание, влажные и крупнопузырчатые хрипы в базальных легочных областях;
- замер пульса. При отечности он учащенный, нитевидный, слабо наполняется;
- замер артериального давления. При отекании оно обычно повышается до 140 мм ртутного столба и более.
Лабораторный
Помочь в диагностике легочного отекания могут следующие лабораторные анализы:
- оценка уровня газов в артериальной крови: давление отдельно взятого газа СО2 – в 35 мм ртутного столба, а давление отдельно взятого О2 – 60 мм ртутного столба;
- биохимический анализ крови. Этот анализ позволяет провести дифференциальную диагностику и определить причины, вызывавшие отекание. Если его спровоцировал инфаркт миокарда, то в крови чрезмерная концентрация тропонинов и МВ фракции креатинкиназы от ее общего количества. Если причина в дефиците белка в крови, то концентрация общего белка будет ниже 60 г/л, а альбуминов – ниже 35 г/л. Если отек спровоцирован почечной дисфункцией, уровень мочевины превышает 7,5 ммоль/л, а креатинина – более 115 мкмоль/л;
- определение способности крови к свертыванию (коагулограмма). При отеке, вызванном образованием тромбов в легочном стволе, увеличивается протромбин до 140%, а фибриноген до 4 г/л.
Инструментальный
Для уточнения диагноза могут применяться диагностические методы с использованием специальных иструментов:
- пульсоксиметрия. Определяется уровень О2 с гемоглобином. При отекании его значение снижается ниже 90%;
- делается замер давления кровотока в крупных венозных сосудах с помощью флеботометра Вальдмана, который подключается к пунктированной подключичной вене. При данном недуге его значение превышает 12 мм ртутного столба;
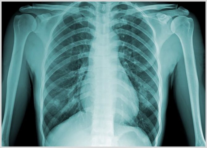
- рентгеновский снимок грудной клетки. Показывает наличие жидкостных элементов в легких. Показывает тотальное затемнение в центральных легочных отделах. При кардиогенном отекании затемнение может быть с обеих сторон, при одностороннем воспалении легких – затемнение с левой или правой стороны;
- ЭКГ. Указывает на нарушения в работе сердечной мышцы, которые провоцирует отек. На кардиограмме можно увидеть симптоматику инфаркта, ишемии, аритмии, гипертрофию стенок в левых отделах миокарда;
- УЗИ сердца. Позволяет более точно определить сердечный недуг, вызвавший отекание легкого. На УЗИ можно увидеть сниженную фракцию выброса миокарда, утолщения стенок сердечных камер, патологические изменения в клапанах и проч.;
- установка катетера в легочный ствол. Эта манипуляция проводится в условиях операционной, часто применяется в кардиоанестезиологии.
Периоды вазовагального обморока
I период — предобморочный (липотимия, предвестники) — длительность от 15-20 сек до 1,5-2 мин.
— нарастающий дискомфорт, общая слабость, головокружение, тошнота, неприятные ощущения в области сердца и в животе;
— шум и звон в ушах, голове, снижение остроты зрения и ориентации в обстановке;
— побледнение и гипергидроз кожи;
— снижение мышечного тонуса;
— тахипноэ, чаще тахикардия, но возможна и брадикардия, снижение АД.
II период
— потери сознания (длительность от нескольких секунд до 10 мин)
— нарастание симптомов первого периода;
— потеря сознания — больной неподвижен, глаза закрыты, зрачки расширены,
реакция их на свет замедлена, понижение АД, дыхание поверхностное,
физиологические рефлексы сохранены, патологические — не определяются;
III период
— восстановительный
— сознание восстанавливается быстро (несколько секунд), больной помнит обстоятельства предобморочного периода;
— восстановление самочувствия в течение нескольких секунд;
— слабость, вялость, разбитость, кардиалгии, головная боль, дискомфорт в животе;
— бледность, потливость, неуверенность и замедление движений (особенно при ходьбе);
— артериальное давление повышается до нормы, исчезает тахикардия;
— дыхание становится ровным.
В отличие от синкопальных состояний другой этиологии для вазовагального (простого обморока) не характерны ретроградная амнезия, генерализованные судороги, атония сфинктеров.
Отличать от
других синдромов утраты сознания.
Как помочь больному — что можно и нельзя делать
Алгоритм действий для оказания первой неотложной помощи при отеке легких состоит в выполнении следующих неотложных мероприятий:
- Вызвать скорую помощь. Нельзя игнорировать жалобы и ждать ухудшения состояния – отек легких может привести к летальному исходу практически молниеносно.
- Больного успокоить: воспользоваться валерьянкой или пустырником.
- Расстегнуть всю стесняющую дыхание одежду.
- Усадить на стул, опустить ноги вниз. Нельзя укладывать такого пациента в горизонтальное положение.
- До приезда врача можно наложить жгуты на конечности, пережимающие вены. Важно при этом не допускать исчезновения пульса на пережатой конечности. Жгуты накладываются на 15-20 минут, затем снимаются. Через некоторое время их можно опять наложить. Таким образом, сердце разгружается – ему требуется меньше усилий, чтобы качать кровь на периферию тела.
- Можно дать пациенту 1 таблетку нитроглицерина подъязычно.
- Если есть возможность – воспользоваться кислородной маской.
- Если во время кашля отделяется большое количество пены – следует воспользоваться средствами для пеногашения. В домашних условиях это может быть обычный спирт: к носу и рту больного периодически прикладывают полотенце, смоченное в водке или медицинском спирте. Отхаркивающими средствами лучше не пользоваться, если кашель уже стал влажным с обильной мокротой.
- Чтобы отек не распространялся – следует согреть спину больного: поставить горчичники.
От того, насколько быстро будут распознаны симптомы отека легких и насколько своевременно будет оказана доврачебная неотложная помощь, часто зависит жизнь больного человека.
Важно не игнорировать первые симптомы отека легких, а своевременно принимать меры по её ликвидации и профессиональному лечению в условиях стационара.
Как нужно действовать самостоятельно
Если состояние развилось у вас, и рядом никого нет, нужно как можно быстрее вызывать скорую медицинскую помощь. До момента приезда медиков нужно действовать согласно ряду пунктов из алгоритма неотложной помощи, а именно:
- обеспечить проходимость дыхательных путей;
- дышать испарениями этилового спирта (чем выше концентрация, тем лучше);
- применить жгут;
- выпить мочегонные препараты, а лучше ввести их внутривенно;
- принять гипотоники;
- при подозрении на развитие неадекватного состояния, применить соответствующие препараты.
Внимание! Тактика самостоятельных действий во многом зависит от самочувствия пациента, исходя из которого, применение успокаивающих препаратов может выводиться на первый план.
Продолжительность жизни
Для того чтобы избежать повторного возникновения отека легких необходимо следовать лечебной терапии основного заболевания. Это не только увеличивает продолжительность жизни, но и заметно улучшает ее качество. Продолжительность жизни зависит и от состояния организма человека.
Если состояние ослабленное, в виду наличия инфекций, то предпринимают соответствующие меры. Отек легких нередко способствует развитию осложнений. Это снижает длительность жизни.
В большинстве случаев жизнь больного сокращается при наличии анафилактических реакций. К тому же, если отек легких находится на острой стадии течения болезни. Поэтому лечите заболевание при проявлении начальных признаков развития данного состояния!
Смена климата
Когда речь идет об акклиматизации, необходимо быть предельно осторожным. Особенно это касается тех, кто собирается совершить путешествие с резкой сменой климата либо же отправиться высоко в горы. Специалисты отмечают, что часто у тех, кто первый раз решил совершить подъем на большую высоту, могут возникнуть большие проблемы с организмом, в том числе и отечность легких. Как правило, подобное отмечается при пересечении человеком отметки в 3,5 тысячи метров над уровнем моря. В случае, когда к этому подключаются значительные физические нагрузки, риск развития самого страшного сценария возрастает в разы.
Если человек поднимается на гору, то это не говорит о том, что проблема заявит о себе сразу. В большинстве случаев перед развитием отечности проходит около трех суток, только потом появляются первые признаки. В особой группе риска находятся люди, которые имеют хронические недуги дыхательной системы либо проблемы с кровообращением. При этом у больного некоторое время отмечается сухой кашель, сильная слабость и боль в горле.
Для высокогорья подобный симптом очень опасен. Далеко не всегда есть возможность быстро обратиться в клинику за помощью при отеке легких. При этом отечность может развиться очень быстро, и смерть больного становится неизбежной.
Первое, что нужно сделать в такой ситуации, это провести согревающие процедуры. При этом человека нужно уложить, но голову немного приподнять. Болевые симптомы нужно снять соответствующими препаратами. В качестве питья рекомендуется подкисленная вода. Если есть возможность, больного нужно обеспечить дополнительным кислородом.
Помощь специалистов в данном случае будет крайне необходимой, в противном случае шансы выжить у больного являются минимальными.
Симптоматика патологии
Симптоматика заболевания появляется резко и ускоренно нарастает. При этом клиническая картина зависит от быстроты трансформации интерстициальной стадии отёка в альвеолярную.
Формы лёгочного отёка классифицируются по скорости нарастания симптоматики следующим образом:
- острая (симптомы альвеолярного отёка наблюдаются через 2-4 часа после того, как появились признаки интерстициального отёка) – образуется при инфаркте миокарда, пороках митрального клапана (преимущественно после психоэмоционального стресса либо сильной физической нагрузки);
- подострая (продолжается от четырёх до двенадцати часов) – возникает из-за задержки в организме жидкости, при острой недостаточности почек или печени, врождённых пороках магистральных сосудов и сердца, поражениях лёгочной паренхимы инфекционного или токсического происхождения);
- затяжная (длительностью сутки и более) – возникает при системных патологиях соединительной ткани (васкулитах, склеродермии), хронических воспалительных процессах в лёгких, хронической недостаточности почек);
- молниеносная (после начала отёка через несколько минут становится причиной смерти пациента) – отмечается при обширном инфаркте миокарда и анафилактическом шоке.
При хронических заболеваниях лёгочный отёк обычно начинается ночью, что обусловлено длительным пребыванием пациента в горизонтальном положении. При ТЭЛА развитие событий в ночное время совсем не обязательно, поскольку состояние человека может ухудшиться когда угодно.
Основные симптомы лёгочного отёка следующие:
- сильная одышка в состоянии покоя; клокочущее, поверхностное, частое дыхание, которое слышно на расстоянии;
- возникающее внезапно ощущение резкой недостаточности воздуха (мучительное удушье), которые усиливаются в положении пациента лёжа на спине; больной в таком случае вынужден находиться ортопноэ, то есть сидеть с туловищем, наклонённым вперёд, и опираясь на вытянутые руки;
- сжимающая, давящая боль в грудине, вызванная дефицитом кислорода;
- кашель с хрипами, которые слышны на расстоянии (дистанционные), выделением розовой пенистой мокроты);
- выраженное учащённое биение сердца (тахикардия);
- возбуждение пациента, спутанность сознания, страх смерти, кома – отсутствие сознания.
- цианоз (посинение) или бледность покровов кожи, сильный липкий пот как итог централизации обращения крови с целью обеспечения жизненно важных органов кислородом.
Читать также: Вирусный артериит лошадей
Дополнительные меры лечения
Дополнительно и в обязательном порядке применяются такие средства, как:
- При наличии малого количества в крови белка больному внутривенно вливается «Альбумин».
- На фоне симптомов закупорки легочной и коронарной артерии сгустком крови используется «Гепарин» наряду с «Пентоксифиллином», разжижающими кровь и не допускающими склеивания тромбоцитов в сгустки. То есть благодаря этому исключается агрегация.
- При наличии брадикардии зачастую используется лекарственный препарат под названием «Атропин».
Кровопускание до 500 миллилитров в медицинской практике уже давно не применяют, но этот метод является весьма действенным и может оказаться единственным спасением в сложных обстоятельствах, при которых другие врачебные возможности окажутся бесполезными.
Стандартное медицинское лечение служит основным залогом спасения того или иного пациента в случае возникновения у него альвеолярного отека. Но помимо этого, в рамках комплексного лечения можно обратиться и к народным методикам.
Каков прогноз при отеке легких?
На прогноз влияет вид отека, степень тяжести, сопутствующие недуги, а также то, насколько качественно и быстро оказали человеку медицинскую помощь. Наиболее неблагоприятным прогнозом характеризуется токсический отек легких, который вызван передозировкой лекарствами, вдыханием ядов или токсических испарений. Наиболее высокую смертность наблюдают при данной форме отека.
Рассмотрим народные средства от кашля и самые действенные рецепты.
Стадии заболевания
Развитие отека легких у лежачих пожилых людей проходит поэтапно. Жидкость скапливается постепенно на протяжении некоторого времени, и человек становится трудно дышать. Стоит отметить, что существуют разные виды патологии, которые зависят от причины, спровоцировавшей отек легких у пожилых людей.
Выделяют три стадии болезни. Их отличия – это скорость развития отека и симптомов. Если отек происходит очень быстро, симптоматическая картина у больного определяется четко и ясно.
1 стадия: молниеносная.
Развитие отека происходит стремительными темпами неожиданно для пожилого человека. Подобная ситуация оказывает негативное влияние на сосуды по причине того, что больной испытывает шок, травмируются капилляры, увеличивается скорость нарастания жидкости и крови в альвеолы.
2 стадия: острая.
Развивается на протяжении трех-четырех часов. Симптомы отека легких у пожилых людей проявляются постепенно, и больной не сразу обращает на них внимание.
3 стадия: затяжная.
В данном случае течение болезни незаметно. Пожилой человек не догадывается, что внутри у него начался отек легких. Эта стадия поддается лечению.
Читайте материал по теме: Болезни пожилых людей
Лечебные мероприятия
Главная цель терапии интерстициального отека легких – нормализовать работу органа, наладить малый круг обращения крови. Метод лечения врач выбирает индивидуально в зависимости от общего состояния пациента, стадии развития патологии, причины появления.
Диагностика
Для установки диагноза наиболее эффективным является рентген. Снимок помогает определить наличие недуга и стадию развития. При патологии картинка размыта, контуры нечеткие, околокорневые отделы имеют сниженную прозрачность.
Электрокардиография помогает выявить болезни сердца, если таковые есть. Так же с ее помощью уточняется, есть ли перегрузки в левой части органа.
На начальной стадии делают эхокардиограмму. Она помогает выяснить, какое заболевание привело к интерстициальному отеку.
Исследование газов крови и биохимический анализ показывают не только наличие болезни, но ее стадию.
Первая помощь
Если у человека резко ухудшилось самочувствие, вызывают скорую помощь. До ее приезда больному необходимо оказать первую помощь:
- Помочь занять сидячее или полусидячее положение так, чтобы ноги были спущены. Нельзя укладывать больного, иначе он может задохнуться.
- Увеличить доступ воздуха – открыть окно, дверь.
- Обеспечить пациенту возможность вдыхать пары спирта (через марлю смоченную спиртом либо водкой). Если речь идет о ребенке, спирт разводят до пропорции 1 часть спирта на 3 части воды. Если плохо стало взрослому человеку, можно не разводить.
- Для отвода крови ноги помещают в теплую ванночку.
- Постоянно следят за пульсом.
- Под язык нужно положить таблетку нитроглицерина. Это снизит давление и поможет расслабиться гладкой мускулатуре кровеносных сосудов. Если желаемый эффект не достигнут, следующую таблетку дают через 15 мин. В сутки принимают не более 6 таблеток препарата.
- Для отвода жидкости из организма помогут мочегонные средства.
В медицинском заведении пациенту отсасывают пену из легких с помощью катетера. Больному дают вдыхать смесь кислорода и этилового спирта. Процедура называется оксигенотерапия. Понижение давления проводят наркотическими анальгетиками и нейролептиками. Делают принудительную вентиляцию легких, насыщая их кислородом.
Если к патологии привело инфекционное заражение, проводят лечение антибиотиками. При кардиологической причине развития болезни назначают соответствующие препараты.
После окончания курса терапии назначают повторный рентген.
Профилактика
Для того, чтобы избежать отека легких следует следить за работой почек и сердца. Организм должен испытывать посильные физические нагрузки. Не реже 2 раз в год следует проходить медосмотр. Регулярно делать рентген. Эта мера позволит выявить нарушения в легких.
В домашней аптечке должны быть препараты первой помощи – нитроглицерин, спирт, марля или бинт.
Болезнь необходимо лечить на ранней стадии, не допуская перехода в альвеолярную форму. При выявлении у человека признаков патологии главное быстро вызвать неотложку, а затем начать оказывать первичную помощь.
Лечение при лёгочном отёке
При лёгочном отёке дальнейшая помощь должна проводиться специалистами из отделения интенсивной терапии или реанимации. Наблюдение за дыханием, давлением и пульсом должно быть постепенным. Любые медикаментозные препараты вводятся посредством катетера, который вставляется в вену под ключицей.
После купирования отёка начинается лечение заболевания, вызвавшего его. Для лечения различных по происхождению отёков требуются антибиотики, а также противовирусная терапия.
Патологии дыхательной системы нужно лечить посредством антибиотиков из числа фторхинолонов и макролидов, которые обладают противовоспалительным и отхаркивающим эффектом. Редко используется «Пенициллин», так как он низкоэффективен. Наряду с антибиотиками выписываются иммуномодуляторы, которые влияют на систему иммунитета и не допускающие нового появления инфекции.
Когда отёк обусловлен интоксикацией, выписываются препараты, устраняющие симптомы и в случае необходимости средство от рвоты. После диуретиков необходимо также восстановление в организме водно-солевого баланса.
От острого панкреатита в тяжёлой форме назначаются медикаменты, которые угнетают деятельность поджелудочной железы. Дополнительно к ним выписывают ферментные средства и препараты, которые ускоряют заживление некротических очагов.
Астматические приступы снимают медикаменты, разжижающие мокроту, бронхолитики и глюкокортикостероиды.
При циррозе печени назначают препараты, защищающие данный орган, а также тиоктовую кислоту.
При такой причине патологии, как инфаркт миокарда, необходимы адреноблокаторы, средства, которые препятствуют появлению тромбов, а также ингибиторы ангиотензинпревращающего фермента.
После сердечной астмы прогноз преимущественно благоприятный, однако пациенту следует проходить в течение года осмотр у специалиста.
Причины возникновения
Отягощающая физическая нагрузка может вызвать отёк лёгких
Причины формирования недуга у человека самые разнообразные, но их стоит знать, так как последствия недомогания лёгких достаточно серьёзные и смертельные. Зачастую отёк лёгких возникает вследствие осложнения ряда различных заболеваний. Эти причины обусловлены следующими факторами:
- Острая интоксикация организма. Возникает вследствие проникновения в организм токсических веществ как инфекционного, так и неинфекционного характера. Токсические компоненты негативно влияют на альвеолярные мембраны и становятся причиной выведения жидкости из лёгочной интерстиции. К интоксикации организма относятся: бактериальная пневмония, избыток лекарственных препаратов, отравление ядом или наркотическими средствами.
- Острое недомогание левого желудочка. В результате этого недуга возникают патологические отклонения сердечно сосудистой системы (инфаркт миокарда, порок сердца, артериальная гипертензия, стенокардия и т. п.). На основании перечисленных заболеваний может сформироваться отёк лёгких.
- Хроническое лёгочное заболевание. К таковым относятся: эмфизема, астма бронхов, пневмония, злокачественные опухоли на полости лёгких.
- При отягощающей физической нагрузке. Так, например, если спортсмен преодолевает очередной подъём в гору, то не исключается возникновение у него отёка лёгких. Чаще присуще женщинам спортсменкам, а реже — мужчинам.
- ТЭЛА. В результате закупоривания лёгочной артерии веществом в виде тромба. Эта причина обусловлена молниеносным возникновением отёка лёгких, приводящим вскорости к смерти человека.
- При снижении онкотического давления. Как следствие возникает снижение состава белка в крови, и формируются такие заболевания: цирроз печени, хронический геморрагический синдром.
- При чрезмерном употреблении лекарственных препаратов, особенно при введении их внутривенно, если при этом нарушена выделительная функция почек.
- Тяжёлые травмы головы.
- При продолжительной искусственной вентиляции лёгких, обусловленной повышенной концентрацией кислорода.
- В случае проникновения рвотных масс в дыхательные органы. Чаще всего эта причина возникает у новорождённых деток при неправильном положении во время сна. В результате такие рвотные выделения в дыхательных путях не только вызывают отёк лёгких, но и приводят к смерти ребёнка.
- При утоплении или попадании прочих веществ в дыхательные пути.
Отёк лёгких
Первопричина возникновения отёка лёгкого обуславливается классификацией на следующие два вида:
- Кардиогенный;
- Не кардиогенный.
Причины кардиогенного: толчок к формированию недуга исходит из левосердечной недостаточности. Причинами недостаточности могут быть:
- Патологические отклонения предсердия;
- Патология желудочка. Это: инфаркт миокарда, миокардит, кардиосклероз, порок сердца и т. п.
Причины не кардиогенного: возникает вследствие переизбытка лекарственных препаратов.
На основании вышеперечисленных причин формируется серьёзное заболевание — отёк лёгких, который имеет свои симптомы проявления. О симптомах поговорим подробнее.
Что это такое
Это острое патологическое состояние, несущее угрозу жизни, требующее крайне срочной помощи, немедленной госпитализации. Основные характеристики заболевания характеризуются острым недостатком воздуха, тяжким удушьем и гибелью больного при неоказании реанимационных мероприятий.
В этот момент происходит активное наполнение капилляров кровью и быстрым прохождением жидкости через стенки капилляров в альвеолы, где ее собирается так много, что это сильно затрудняет поступление кислорода. В органах дыхания нарушается газообмен, клетки тканей испытывают острую недостаточность кислорода (гипоксия), человек задыхается. Нередко удушье случается ночью во время сна.
Иногда приступ продолжается от 30 минут до 3 часов, но часто избыточное накопление жидкости во внеклеточных тканевых пространствах нарастает молниеносно, поэтому реанимационные мероприятия начинаются немедленно во избежание летального исхода.
Группы риска
По причине того, что развитие болезни напрямую связано с уже имеющимися недугами, в группу риска попадают, прежде всего, люди, страдающие патологиями, провоцирующими отек легких, среди которых:
- нарушение работы сердечно-сосудистой системы;
- гипертония и, как следствие, поражение сердечной мышцы;
- врожденные болезни сердца, органов дыхания;
- серьезные черепно-мозговые травмы, кровоизлияния в мозг;
- менингит, энцефалит;
- онкологические заболевания и доброкачественные образования в тканях мозга;
- пневмония, бронхиальная астма, эмфизема;
- тромбозы, повышенная вязкость крови;
- высокий риск отрыва плавающего сгустка от стенки артерии и попадания его в легочную артерию, которая перекрывается тромбом, что провоцирует тромбоэмболию.
Отек легких может возникнуть у альпинистов, которые при быстром подъеме на высоту не останавливаются в процессе восхождения.
- Социальное обслуживание пожилых людей
- Заболевания старческого возраста
- Ценные советы, как выбрать пансионат
Когда необходима помощь врача?
Врачебная помощь нужна в любом случае, при обнаружении первых признаков отека, независимо от того, какие причины его вызвали. В подавляющем большинстве случаев необходима срочная госпитализация.
Если у больного диагностируются заболевания сердечно-сосудистой системы и наблюдается хронический и длительный отек легких по причине сердечной недостаточности, необходимо постоянно наблюдаться у лечащего врача, выполнять все его рекомендации и регулярно проходить диагностические и лабораторные исследования.
По поводу хронического отека легких необходимо постоянное наблюдение у специалистов:
- по внутренним болезням (терапевт);
- по сердечно-сосудистым заболеваниям (кардиолог);
- по легочным заболеваниям (пульмонолог).
Симптоматика: от первых признаков до опасной формы
Предвестниками отека легких у взрослого человека являются такие симптомы и признаки:
- появление одышки и удушья, которые не зависят от физической нагрузки;
- покашливание или дискомфорт за грудиной при малейшей физической нагрузке или в положении лежа;
- ортопноэ – вынужденное вертикальное положение больного, которое он принимает потому, что лежа не может полноценно дышать.
Отек легких может протекать по-разному: в некоторых случаях он развивается практически молниеносно, за несколько минут, а иногда разворачивается в полном объеме в течение нескольких часов.
По мере нарастания отека и дисфункции все большей площади легких состояние больного быстро ухудшается и могут возникнуть сначала «синяя», а затем «серая» гипоксия:
| Симптомы | «Синяя» гипоксия | «Серая» гипоксия |
| Общее состояние | Тяжелое, сильная слабость и беспокойство. Сознание сохранено. Вынужденное вертикальное положение тела. На шее видны вздувшиеся сосуды. Могут быть тошнота и рвота, высокая температура. | Крайне тяжелое. Сознание спутанное вплоть до полной его потери. Апатия. |
| Локализация боли | За грудиной | Сильная сжимающая боль за грудиной |
| Дыхание | Затрудненное, частое (30-60 в минуту) и поверхностное | Редкое и аритмичное. Слышны хрипы в легких. |
| Кашель | Вначале сухой и мучительный, затем с обильной пеной-мокротой. Ощущение клокотания жидкости внутри. | С обильной пенистой жидкостью розоватого оттенка. |
| Состояние кожи и слизистых | Слизистые оболочки и кожа на пальцах посиневшие | Кожа землистого оттенка, покрыта холодным потом |
| Пульс | Частый, до 100 в минуту, но слабый | Слабый, практически не прощупывается |
| Мочеиспускание | Очень редкое, вплоть до полного отсутствия | Отсутствует |
| Прогноз | При своевременном оказании помощи благоприятный | Неблагоприятный |
Каким должно быть лечение после инфаркта миокарда, препараты, которые назначают врачи, правильный образ жизни — выясните все на страницах нашего сайта.
Для чего сдают общий анализ крови, расшифровка результатов у взрослых и детей, норма по возрастам и много другое подробно рассмотрено здесь.
Каким должно быть СОЭ в анализе крови: норма у женщин и мужчин по возрасту в таблице представлена в этой статье.
Симптоматика
Симптомы заболевания зависят, прежде всего, от стадии заболевания и скорости перехода от интерстициальной формы к альвеолярной. Данному заболеванию присущи также виды сроков проявления симптомов, которые разделяются на:
- Острый. Симптомы возникают уже через четыре часа после формирования болезни.
- Затяжной. Отёчность постепенная и по истечении 2–3 дней симптомы проявляются более отчётливо.
- Молниеносный. Этот вид отёка проявляется достаточно быстро, что становится причиной негативных последствий для человека и его смерти. Молниеносный вид не имеет симптомов лёгкого недуга, поэтому сразу при попадании экссудата в лёгкие возникают острые боли и буквально через несколько часов — летальный исход. К смерти человека приводят и другие виды недуга, но наиболее опасным по срокам является именно молниеносный.
Рассмотрим симптомы отёка лёгких для интерстициальной и альвеолярной форм.
Симптомы интерстициального отёка лёгких
Симптомы интерстициальной формы заболевания проявляются зачастую в ночное время, когда человек спит. Накануне ничто не предвещает возникновения такого заболевания, но это только на первый взгляд. Физическое перенапряжение или незначительное психоэмоциональное расстройство может дать толчок развитию симптомов отёка лёгких. Первые признаки отёка лёгких проявляются в виде лёгкого покашливания, которому уделяется крайне мало внимания.
При этом симптомы нарастают ближе к утру, больной становится бледным, у него начинается одышка даже в состоянии покоя. При принятии положения сидя и подвесив ноги, одышка немного уменьшается. Человеку очень сложно вдохнуть на полную грудь, возникает острая нехватка кислорода. Нередко после первых симптомов одышки формируется кислородное голодание. При его наступлении возникает головокружение и частые головные боли. Больному свойственно общее недомогание организма.
Визуально изменяется внешность больного: цвет кожи становится бледным, а при прикосновении к нему возникает чувство повышенной потливости. Потливость или влажность кожных покровов является одним из важных симптомов отёка лёгких, которому также свойственно повышение слюноотделения и цианоз носогубного треугольника.
Симптомы отёка легких
В лёгких происходят также изменения: меняется тип дыхания, он становится более хриплым. Хрипы характеризуются повышенной сухостью на протяжении протекания всей картины заболевания. Происходят также и изменения в сердечно-сосудистой системе:
- учащается сердцебиение;
- происходит ослабление первого тона;
- в лёгких замечается акцент второго тона.
При проведении рентгенологического обследования открывается следующая картина симптомов, которой характерно расширение корневой системы лёгких и отсутствие структурированности. Врач замечает расплывчатость картины лёгких, а также наличие линий Керли в сегментной структуре.
Интерстициальная форма заболевания характеризуется постепенностью нарастания недуга и возможностью вылечивания. Если же не осуществляется соответствующее лечение, то интерстициальная форма усугубляется и развивается уже альвеолярный вид.
Симптомы альвеолярного отёка лёгких
Альвеолярная фаза возникает как самостоятельно при первых признаках заболевания, так и формируется как осложнение интерстициальной формы. Симптомы альвеолярной формы характеризуются интенсивностью и внезапностью, что сказывается отрицательно на состоянии человека. У больного наблюдается резкое нарастание одышки, порой даже возникает удушье. Усиливается частота дыхания до 40 раз в минуту. Дыхание характеризуется также шумными стидорозными проявлениями, а кашель с каждым разом усиливается. Доходит до того, что при откашливании выделяется мокрота с пеной и кровью. Выделение мокроты увеличивается и за непродолжительное время достигает значения в 1,5–2 литра.
Наряду с этими симптомами возникает тревожность и психоэмоциональное возбуждение. Больной не усидчив на месте, как это присуще в форме интерстициального проявления недуга. Наблюдается побледнение кожи, белеет язык и отмечается диффузный цианоз. Снижается артериальное давление, наблюдается увеличение вен на шее, возникает гипергидроз кожи лица и всего тела. Причём отделения пота настолько интенсивное, что одежда больного становится влажной.
Усиленное потоотделение — симптом альвеолярного отёка легких
При прослушивании биения сердца не наблюдается его тон, что связано напрямую с шумным дыханием. При рентгенологическом обследовании наблюдается следующая картина:
- изменения по форме и протяжённости лёгких;
- затемнение обеих сторон лёгких в прикорневой области.
Визуальный осмотр больного показывает, что его лицо становится опухлым. С усилением недуга начинается активное выделение пены изо рта, хрипы становятся все громкими и клокочущими.
Симптомы отёка лёгких характеризуются полным недомоганием организма, отсутствием желания к выполнению какой-либо работы и заторможенностью. У больного головные боли перерастают в мигреневые состояния, возникает спутанность сознания. Возникает состояние предкомовое, которое нередко обуславливается впадение в кому при отсутствии соответствующих мероприятий. Альвеолярный вид характеризуется крайне тяжёлым состоянием человека, вследствие чего возникает смертельный исход. Факторами, приводящими больного к смерти, являются кислородное голодание и асфиксия.
Симптомы заболевания у лежачих больных
Симптомы отёка легких у лежачих больных
Молниеносный вид недуга характеризуется, прежде всего, скоростью возникновения симптомов. При данном виде крайне редко можно спасти человека, поэтому зачастую диагноз с молниеносным проявлением отёка лёгких становится последним в книжке пациента.
Если больной находится в лежачем положении при симптомах отёка лёгких, то возникновение рецидива усиливается. Если в вертикальном положении больной вдыхает больший объём кислорода, то в горизонтальном наоборот. Это приводит к тому, что снижается объём лёгких больного, а, значит, и кровоток. При этом не происходит самовольное выделение мокроты, при горизонтальном положении она накапливается в лёгких и обуславливает формирование воспалительного процесса. На основании такой симптоматической картины нередко появляется пневмония.
У лежачих больных симптомы недуга нарастают постепенно, при этом первой жалобой является учащение дыхания. Затем возникает одышка и недостаточность воздуха. Наступает кислородное голодание, которое, в свою очередь, обуславливается следующими признаками проявления:
- сонливость;
- ослабленность;
- недомогание;
- головокружение.
Симптомы у лежачих больных проявляются не чётко, поэтому повода для диагностики не вызывают.
Зная основные причины и симптомы такого серьёзного заболевания, стоит перейти к рассмотрению вопроса о диагностировании недуга в медицинском учреждении.
Диагностирование
Диагностика отёка легких
Помимо осмотра и опроса пациента, поступившего с первыми признаками отёка лёгких опытный врач должен обязательно провести лабораторное и инструментальное обследование, чтобы убедиться в точности диагноза.
Методы лабораторных и инструментальных исследований включают в себя:
- Проведение обследования газов крови. При наличии недуга исследование покажет умеренную гипоканию, после чего с нарастанием признаков происходит снижение PaCO2. На более поздней стадии этот показатель будет увеличиваться, а PaO2 снижаться. При измерении ЦВД и результат в 12 см вод. ст. и более будет означать наличие недуга.
- Биохимическое обследование крови. При сниженном количестве белка картина заболевания становится понятнее.
- Электрокардиограмма. Если результат этого исследования показывает признаки наличия гипертрофии левого желудочка, ишемии миокарда и т. п., то это свидетельствует о наличии отёка.
- УЗИ сердца. УЗИ при наличии недуга проявится в виде визуализации зон гипокинезии миокарда. Это обусловлено тем, что снижена сократимость левого желудочка.
- Рентген грудины. При проведении рентгена и наличии признаков расширения сердца и корней лёгких будет свидетельствовать о преобладании факторов наличия жидкости в лёгких.
На основании данных показателей опытный врач определяет не только вид заболевания, но и возможную причину. Остаётся немедленно перейти к соответствующим способам лечения, которые описаны ниже.
Признаки кардиогенной формы
Данный вид отека вызывается острой сердечной недостаточностью. Патология начинает развиваться ночью или ранним утром. Она провоцируется нагрузками психологического и физического характера или другими резкими изменениями в организме. Характерным признаком кардиогенной формы патологического процесса является декомпенсированное нарушение сердечной деятельности. При проведении дифференциальной диагностики обнаруживают изменения в ЭКГ и снижение фракции выброса.
Такой тип патологии редко поражает детей, а у взрослых симптомы отека легких следующие:
- нарастающий кашель с одышкой смешанного характера;
- приступы удушья;
- частое поверхностное дыхание (до 60 вдохов в минуту);
- выделение изо рта розоватой пены;
- цианоз пальцев и носогубного треугольника (в дальнейшем распространяется на все тело);
- одутловатость лица;
- пульс частый, но слабый;
- профузное потоотделение;
- боли в груди (усиливающиеся, могут привести к шоку);
- нестабильное давление (чаще повышенное, но может становиться критически низким).
Врачи могут методом аускультации определить у больного жесткие свистящие хрипы, которые со временем преобразуются в разнокалиберные влажные. При оказании помощи важно следить за артериальным давлением, которое при отеке легких может упасть настолько, что остановится сердце. Также медики останавливают прогрессирование гипоксии, которая поражает все внутренние органы, особенно мозг.
Чем опасен, прогноз
Отек легких – прямая угроза жизни. Без принятия крайне срочных мер, которые должны проводить родственники больного, без последующей неотложной активной терапии в стационаре отек легких — причина смерти в 100% случаев. Человека ждет удушье, коматозное состояние, гибель.
Внимание! При появлении самых первых признаков острой патологической ситуации важно в кратчайшие сроки оказать квалифицированную помощь на базе стационара, поэтому вызов скорой помощи осуществляется немедленно.
Помогают ли народные средства и какие
При отеке нужно как можно быстрее обратиться за медицинской помощью, поскольку промедление чревато серьезными последствиями вплоть до смерти пациента. Лечение народными средствами возможно лишь после стабилизации состояния больного и отсутствия риска развития нежелательных осложнений. Такими методами можно устранить остаточную симптоматику, убрать кашель и отделение мокроты, а также не допустить повторное развитие недуга.
В период завершения патологии можно применять такие народные методы лечения:
- льняной отвар. 4 ч. лож. льняных семян заливаются литром воды и кипятятся 5-7 мин. Полученный отвар настаивается в тепле 4-5 ч. Его нужно пить 5-6 раз в день по полчашки;
- отвар из корней любистка. Для приготовления снадобья нужно 40-50 г сушенного сырья залить литром воды и прокипятить в течение 10 мин. Затем отвар отстаивается около получаса и принимается 4 раза в день;
- отвар из семян петрушки. Сырье нужно истолочь, взять 4 ч. лож., залить чашкой кипящей воды и проваривать 1/3 часа. Затем отвар процеживается и принимается по 1 стол.лож. четыре раза в сутки после приема пищи;
- отвар из корней синюхи. 1 стол.лож. сухого сырья нужно залить литром воды и варить на водяной бане около получаса. Принимается снадобье по 50-70 мл 3-4 раза в сутки после еды.
Важно помнить, что народная медицина не может заменить медикаментозное лечение. Только современные технологии и медпрепараты способны диагностировать и устранить этот недуг. Кроме того некоторые лекарственные растения могут вызывать побочные реакции при взаимодействии с определенным видом медпрепаратов, поэтому перед использованием того или иного народного средства, следует в обязательном порядке обсудить каждый ингредиент рецепта с лечащим врачом.
Первая помощь
Пациент с лёгочным отёком нуждается в скорейшей помощи. Нужно совершить ряд действий:
- вызвать скорую помощь при первых же признаках сердечной астмы;
- помочь пациенту принять сидячее или полусидячее положение, ноги его при этом нужно опустить;
- поставить ноги в таз, наполненный горячей водой;
- отворить окна, обеспечив больному приток свежего воздуха, расстегнуть или снять тесную одежду, которая затрудняет дыхание;
- контролировать пульс и дыхание;
- если имеется тонометр, то измерить артериальное давление пациента;
- при сердечном давлении более 90 следует дать пациента сублингвально одну таблетку нитроглицерина;
- наложить венозные жгуты на ноги, чтобы задержать там венозную кровь и уменьшить нагрузку на сердце;
- накладывать жгуты на нижние конечности нужно по очереди, находиться на ногах они могут не дольше двадцати минут;
- когда давление нормализуется, пострадавшему вводятся внутривенно диуретики (к примеру, «Лазикс»), чтобы уменьшить количество жидкости в лёгких;
- сделать 96% ингаляции (детям – 30%) спиртовым водным раствором, который имеет противовспенивающее влияние.
После манипуляций, перечисленных выше, необходимо подождать скорую помощь, которая, в свою очередь, купирует лёгочный отёк и доставит больного в реанимацию. Врачи здесь установят причину заболевания, и в дальнейшем соответствующий специалист будет заниматься лечением.
Неотложная медицинская помощь
После прибытия бригады скорой помощи больному вводят внутривенно наркотический анальгетик (Морфин, Промедол), Лазикс и Нитроглицерин. Во время транспортировки в стационар выполняются следующие мероприятия:
- оксигенотерапия (при необходимости выполняется интубация трахеи и искусственная вентиляция легких);
- для устранения пены в состав ингаляционной смеси вводятся пеногасители (70-96% спирт или раствор Антифомсилана);
- для предотвращения аспирации пеной используются электроотсосы;
- при сниженном артериальном давлении вводится Дофамин или Добутамин;
- при признаках бронхоспазма вводится Метилпреднизолон или Дексаметазон;
- при тромбоэмболии легочной артерии применяются антикоагулянты (Гепарин);
- при нитевидном пульсе больном водиться Эуфиллин и Атропин;
- при развитии мерцательной аритмии показано введение сердечных гликозидов (Строфантин К, Дигоксин, Коргликон);
- при высоком артериальном давлении выполняется введение Бензогексония, Пентамина или Арфонада.
Почему развивается отёк?
- Заболевания, которые сопровождаются выделением экзогенных или эндогенных токсинов (проникновение инфекции в кровоток (сепсис), лёгочное воспаление (пневмония), а также передозировка медикаментозными средствами («Апрессин», «Фентанил»), радиационные лёгочные поражения, употребление наркотических веществ – кокаина и героина; токсины вызывают дефект целостности мембраны альвеолокапиллярной, вследствие чего усиливается её проницаемость, капиллярная жидкость выходит в пространство вне сосудов.
- Сердечные заболевания на этапе декомпенсации, которые сопровождают застой крови в малом круге кровообращения (лёгочная эмфизема, инфаркт миокарда) и недостаточность левого желудочка.
- Заболевания лёгких, которые становятся причиной застоя правого круга кровообращения (лёгочная эмфизема, бронхиальная астма).
- Тромбоэмболия артерии лёгкого. У людей с предрасположенностью к образованию тромбов (страдающих гипертоническим заболеванием, варикозным расширением вен и т.п.) может сформироваться тромб и впоследствии оторваться от стенки сосуда и мигрировать по организму с кровотоком; достигнув ветвей артерии лёгкого, тромб способен закупорить просвет и вызвать, таким образом, повышение показателей давления в сосуде и капиллярах, которые от него ответвляются – в них усиливается гидростатическое давление, приводящее к лёгочному отёку).
- Заболевания, которые сопровождаются уменьшением содержания в крови белка (почечная патология с нефротическим синдромом, цирроз печени и т.п.); при перечисленных состояниях онкотическое кровяное давление снижается, что может вызвать развитие отёка лёгких.
- Инфузии (внутривенные вливания) большого количества растворов с отсутствием в дальнейшем форсированного диуреза вызывают повышение в крови гидростатического давления и развитие лёгочного отёка.
Профилактические меры
Профилактические мероприятия — это диагностика и своевременное адекватное лечение заболеваний, которые способны спровоцировать отек легких.
Для этого необходимо: проводить долгосрочную профилактику сердечно-сосудистых заболеваний, избегать длительного и бесконтрольного приема медикаментов, выполнять предписания врача, вести здоровый образ жизни и исключить вредные привычки.
Существуют факторы, которые невозможно предупредить, это состояния, связанные с генерализованной инфекцией или тяжелой травмой.
Первые действия до приезда врача
Крайние стадии отека легких требуют скорейшей неотложной помощи. Основной алгоритм действий при острой альвеолярной форме патологии:
- Придайте телу больного оптимальную позу, в которой ему будет легче дышать и кровообращение нормализуется. Человека усаживают так, чтобы ноги свисали вниз.
- Расстегните или снимите верхнюю одежду, откройте окна для проветривания помещения.
- Дайте больному обезболивающие препараты из группы нейролептиков.
- Измерьте пульс и артериальное давление больного и следите за характером его дыхания.
- Разотрите ноги или поставьте их в ванночку с теплой водой.
- Наложите венозные жгуты на бедренную часть правой ноги, а затем перевяжите на левую.
- Необходимо провести ингаляционные процедуры, больному следует подышать парами спирта.
- При нестабильном давлении дайте «Нитроглицерин», который пострадавшему необходимо постепенно рассасывать.
- Дайте больному диуретический препарат для выведения лишней жидкости, которая могла спровоцировать отечность.
Также неотложные мероприятия включают введение сердечных гликозидов и препаратов, корректирующих электролитный баланс. Перечисленные методы способны нормализовать состояние пациента и поддерживать стабильное течение патологического процесса. Поэтому нельзя просто ждать скорую помощь. Постарайтесь максимально помочь пострадавшему. Уточните список препаратов первой помощи, которые вы можете дать.
Симптомы заболевания
При кардиогенной природе нарастание симптоматики возможно за несколько дней до возникновения ярко выраженных признаков отека легких. Пациента в ночное время беспокоят эпизоды сердечной астмы – одышка (частота дыхательных движений 30 в минуту и более), навязчивый кашель без мокроты и затруднение при вдохе. Это признаки интерстициального отека, при котором жидкая часть крови скапливается в легочной ткани, но еще не проникает в альвеолы.
Далее жидкость оказывается в альвеолах и вспенивается под струей проходящего воздуха. Возникает кашель с розовой мокротой пенистого характера, сопровождающийся клокочущим дыханием и хрипами, слышными окружающим.
Общее состояние тяжелое – отмечается возникновение резкой слабости, холодного пота, выраженной бледности и похолодания конечностей, при дальнейшем развитии быстро нарастает синюшная окраска кожи – цианоз. Артериальное давление снижается, пульс частый и слабый. Пациент испытывает выраженный страх и тревогу, а дыхание возможно только в положении сидя с упором на руки (ортопноэ).
Возможен и другой вариант развития отека, когда на фоне полного здоровья уже существующее, бессимптомно протекающее сердечное заболевание дебютирует вышеописанной симптоматикой. Например, такой вариант встречается, когда бессимптомная ишемия миокарда приводит к развитию инфаркта с острой левожелудочковой недостаточностью.
Некардиогенный отек легких клинически проявляется аналогичными признаками, внезапно развившимися, к примеру, после вдыхания отравляющего вещества, на фоне высокой лихорадки или во время пневмонии.
У детей начальные признаки отека легких иногда бывает тяжело заподозрить, если он вызван бронхитом или пневмонией, в связи с тем, что симптомы основного заболевания также проявляются кашлем, хрипами и учащением дыхания. Насторожить родителей в данном случае должны такие признаки, как внезапная выраженная одышка, внезапно появившийся цианоз кожи лица или конечностей, клокочущее дыхание и появление пенистой мокроты.
У некоторых пациентов с кардиологической патологией левожелудочковая недостаточность может развиваться несколько раз, тогда она называется рецидивирующим, или хроническим отеком легких. После успешного купирования предыдущего отека в условиях стационара спустя какое-то время у пациента вновь нарастают признаки сердечной астмы, которая при отсутствии коррекции проводимого лечения переходит в альвеолярный отек легких. Такой вариант прогностически неблагоприятен.
Об аллергической форме отека
Чаще всего легочные ткани отекают вследствие наличия в организме сердечных, сосудистых или печеночных патологий, а также по причине отравления токсинами и после травмы груди, но у пациентов достаточно часто диагностируется и аллергическая форма заболевания, при которой отекание органа провоцирует попавших в организм аллерген.
Аллергический отек чаще всего как у взрослых, так и у детей вызывает укус насекомых, на яд которых у них наблюдается индивидуальная непереносимость. Отечность может появиться после укуса ос или пчел. Аллергическая реакция в виде отека может развиться и на фоне приема определенных медпрепаратов или после переливания компонентов крови.
Аллергия будет проявляться уже с первых секунд после проникновения аллергена. Первыми симптомами будет жжение в области языка, далее начнут сильно зудеть кожные покровы головы, лица, рук и ног.
Без оказания неотложной помощи у больного возникает дискомфорт в груди, начинает болеть сердце, появляется одышка и тяжесть в дыхании. При прослушивании грудной клетки можно услышать хрипы сначала в нижней доле парного органа, а затем и по всей его поверхности. Из-за накопления в организме СО2 цвет кожи приобретает синеватый цвет.
Может появиться тошнота, вплоть до рвоты, сильные болевые ощущения в животе, в очень редких случаях непроизвольное мочеиспускание или дефекация. Если наблюдается продолжительная гипоксия головного мозга из-за недостаточности левого сердечного желудочка, к остальным признакам могут добавиться судороги на подобии эпилептических.
При первых симптомах аллергического отека нужно незамедлительно прекратить контакт с аллергеном, а именно:
- удалить жало скользящим движением ногтя или ножика, а выше повреждения накладывается жгут на 2 мин. с перерывом на 10 мин.;
- прекращается процедура переливания крови;
- прекращается прием препаратов, которые провоцируют аллергию.













