Язык играет важную роль в организме каждого человека. Помогает правильно говорить, определять вкус того или иного блюда, пережевывать пищу. При возникновении каких-либо нарушений многие начинают паниковать и не знают, что предпринимать
Объяснить, почему болит язык не так просто, учитывая множество причин, провоцирующих дискомфорт. Выявление предрасполагающего фактора поможет эффективно справиться с симптомами.
Механическое повреждение языка
Чаще всего, причиной болей в языке становится непреднамеренное механическое воздействие. Повредить язык можно:
- При пережевывании пищи. Варианты повреждений – ожог, царапины, защемления. Боль сосредоточена в месте воздействия – по центру, сбоку, под языком, на его кончике.
- Из-за стоматологических проблем. Боль может спровоцировать скалывание зубной эмали, острые кромки пломбы, погрешности при протезировании. Если не устранить причину травмирования, боль будет усиливаться.
Болит язык сбоку — причины, чем лечить
Если во рту появляются даже слабые болевые ощущения, то это доставляет много дискомфорта. Становится тяжело говорить и принимать пищу. Боль может быть острой или хронической. В зависимости от того, где она локализуется, можно определить ее причину. Кроме того, гастроэнтеролог по состоянию языка и налета на нем, может поставить предварительный диагноз. Если у вас болит язык сбоку, то о причинах и чем лечить, вы узнаете, прочитав данную статью.
Читайте также: Витамины Алфавит Детский сад, Тинейджер, Наш Малыш: отзывы, инструкция, состав
Воспалительные процессы
Это наиболее опасная причина боли в языке. Воспаление органа сопровождается такими симптомами:
- дискомфорт в горле или нёбе;
- затрудненное глотание.
Такие симптомы указывают на воспаление в полости рта, вызванное вирусными инфекциями. Так, часто болевые ощущения возникают из-за вирусного стоматита. Тогда на языке появляются характерные высыпания, доставляющие серьёзный дискомфорт при жевании и глотании.
Любые воспаления во рту болезненны и опасны. Одной из причин дискомфорта может стать гнойная ангина – заболевание, требующее неотложного лечения.
Чем вызвана боль сбоку
Отмечено, что неприятные ощущения в боковых зонах появляются чаще. Могут быть спровоцированы разными причинами.
Внешние факторы
К внешним относятся факторы, не связанные со здоровьем пациента, но способствующие появлению боли.
Наиболее распространенными считаются следующие:
- неправильный прикус челюстей, провоцирующий постоянное повреждение боковых областей и слизистой ротовой полости;
- отсутствие жевательных зубов, создающее неравномерную нагрузку на язык, образование стрессовых зон;
- некачественные зубные протезы, нарушение технологии их установки;
- попадание в полость рта химических веществ, ядов;
- травмы предметами гигиены;
- постоянное нахождение во рту жевательной резинки.
Употребление алкогольных напитков в большом количестве, многолетнее курение может привести к появлению дискомфорта.
Заболевания
Помимо внешних факторов, проблема часто становится следствием заболеваний полости рта или внутренних органов.
Вероятными предрасполагающими факторами будут следующие патологии:
- Глоссит — воспалительное заболевание языка, вызванное инфекцией, попадающей в небольшую ранку на поверхности языка.
- Стоматит представляет собой стоматологическую патологию, характеризующуюся появлением на слизистой язвочек разного размера, почти всегда сопровождается болевым синдромом в языке.
- Глоссалгия — серьезное заболевание, сопровождающееся болевыми ощущениями и жжением, сравнимым с ожогом.
- Невралгия — патология нервной системы, характеризующаяся поражением нервных окончаний, отвечающих за иннервацию органа.
- Онкологические болезни.
- Ангина, тонзиллит, ларингит.
- Аллергические реакции на любые продукты или медикаменты.
Любое из этих заболеваний может стать причиной болевого синдрома и требует комплексного лечения.
Читайте также: От какого кашля помогает сироп Доктор МОМ и как его применять правильно взрослым и детям?
Глоссит
Глоссит – воспаление языка разной этиологии и симптоматики. Язык – «зеркало» желудка. На состояние этого органа влияют буквально все органы и системы организма, особенно ЖКТ. Часто причиной разного рода патологий становятся неполадки в работе пищеварительной системы и нарушения в микрофлоре полости рта. Различают несколько видов глоссита:
1. Поверхностный. Воспаляется только слизистая языка. Появляется болезненность, припухлость и краснота. Этот вид глоссита могут спровоцировать такие факторы:
- больные зубы или дёсны;
- плохая гигиена полости рта;
- употребление алкоголя и курение.
2. Катаральный. Носит поверхностный характер. Воспалительный процесс с болью и жжением, усиливающимся во время еды и при механических раздражениях. Язык покрывается белым налётом, он опухает, уплотняется, теряется подвижность, усиливается слюноотделение, больной перестаёт ощущать вкус. Катаральный глоссит сопровождается отторжением слизистой, а на её месте появляются красные пятна. Данный вид глоссита может указывать на присутствие дифтерии, кори, скарлатины.
3. Глубокий. Воспаление, формирующееся в глубине тканей языка. Протекает как гнойное воспаление – возникает флегмона или абсцесс. В том и другом случае боль сосредоточена в глубине языка. Распространение гнойного воспаления приводит к появлению болей в области шеи или подбородка. Далее микробы могут охватить лимфоузлы, они увеличиваются и крайне болезненны. Патология вызывает скачок температуры, слабость, головные боли. Показано хирургическое лечение.
Сопутствующие симптомы
Помимо болезненности языка у человека обычно наблюдается ряд сопутствующих симптомов. Проанализировав клиническую картину, доктор способен предположить наличие определенного диагноза уже на первом приеме.
Чаще всего боль вызвана воспалительным процессом.
Для него характерны такие проявления:
Некоторые пациенты также жалуются на сухость во рту либо чрезмерное слюноотделение.
Для патологий неврологической природы характерны онемение языка, головная боль и утрата способности нормально разговаривать.
Пирсинг
Боль в языке после пирсинга – частный случай механического травмирования. Сегодня модно прокалывать язык. Эта мини-операция небезопасна и грозит серьёзными проблемами. У многих, после прокола, долго болит язык. На языке – бессчётное множество нервных окончаний, поэтому пирсинг вызывает боль, особенно в точке прокола.
Продолжительность болей после пирсинга зависит от здоровья конкретного человека. У одних язык проходит за пару дней, иных боль преследует почти две недели. Опухание и боль – характерные симптомы после пирсинга. Но если через неделю боль не стихает, нужно обращаться к врачу – возможно, произошло инфицирование.
Причины боли после прокалывания языка:
- повреждение нервных окончаний;
- в рану попала инфекция, начался воспалительный процесс;
- аллергическая реакция на металл, из которого сделано украшение.
Чтобы максимально обезопасить себя от осложнений, делайте пирсинг только у профессионалов. При наличии болей, длящихся больше недели, поспешите к хирургу или стоматологу.
Чем ближе к краю языка прокол, тем больше вероятность осложнений, и тем сильнее боль. Быстрее и легче других заживает пирсинг по центру языка. По краю этого органа расположены артерии, повреждение которых способно вызвать даже смерть.
Обратите внимание:
Читайте также: Гипертония: лечение медикаментами и народными средствами, отзывы врачей и пациентов
- Если боль сосредоточена по бокам, нужно выяснить – не повредили ли во время пирсинга артерии.
- Если боль на конце языка, но нет припухлости и воспаления, скорее всего, боль в скором времени пройдёт.
- Если язык прокололи около корня, надо быть готовым к длительным болям. Заживление в этой области продолжается до 6 недель.
Если после пирсинга возникает колющая боль, значит, в языке начался воспалительный процесс. Без адекватного лечения велика вероятность абсцесса.
Лечение поражений поверхности языка
Чаще всего болит язык по бокам из-за проникновения инфекции и возникновения афтозного стоматита. Для избавления от патологии необходимо постоянно обрабатывать боковую поверхность антисептическими растворами.
Поможет снять боль и восстановить слизистую оболочку спрей с прополисом
Для этого достаточно хорошенько полоскать ротовую полость, особое внимание уделяя месту патологии. В качестве растворов можно использовать хлоргексидин, раствор фурацилина и перекиси водорода. Если заболевание спровоцировало повышение температуры, то необходимо принимать жаропонижающие препараты.
Обычно язвочки очень болезненные, поэтому врачи назначают пациентам обезболивающие спреи с лидокаином или новокаином. При обнаружении вирусной или грибковой причины афтозного поражения боковой поверхности врачи назначают противовирусные и антимикотические препараты. Для ускорения заживления поверхности применяют раствор цитраля, прополис, витаминизированные комплексы с рутином, аскорбиновой и фолиевой кислотой. В среднем такие афты исчезают с поверхности через полторы-две недели.
При аллергическом происхождении патологии снять симптоматику помогут стандартные антигистаминные препараты – Цетрин, Эриус, Диазолин, Супрастин. Если выделен аллерген, спровоцировавший недуг, нужно устранить в дальнейшем любой контакт с ним, чтобы не спровоцировать рецидив.
Ожог
Различают 4 степени ожога языка:
- С отёком и покраснением слизистой. Такой ожог не нуждается в специальном лечении.
- Поверхность языка покрывается пузырьками. Необходимо врачебное вмешательство.
- На языке появляются язвы и участки с омертвевшими тканями. Нужна немедленная врачебная помощь.
- Поражены все мягкие ткани. Орган обуглен полностью или частично. Сохранить язык в данном случае невозможно.
Различают два типа ожогов:
- Термический. Это наиболее распространённые ожоги. Получить их можно, употребляя слишком горячую еду или питьё, вдыхая горячий пар, прикоснувшись языком к раскалённой поверхности.
- Химический. Этот вид ожогов опаснее термического. Получить его можно в результате:
- попадания химических веществ в ротовую полость;
- использование «прижигающих» препаратов во время самолечения зубов;
- использование стоматологами некачественных препаратов во время лечения зубов;
- употребления крепкого алкоголя или спирта;
- вдыхание химических паров.
Как лечить афтозное поражение
Советуем почитать:
Чем лечить больное ухо
Вылечить афтозное поражение можно нетрадиционными методиками. Народные средства помогут пациентам быстрее избавиться от признаков патологии, причем использовать их можно наряду с применением препаратов официальной медицины, чередуя между собой. Среди эффективных рецептов можно отметить:
- полоскание теплой водой с добавлением двух капель мирры и трех капель масла календулы;
- жевание пораженной стороной листа алоэ;
- ежедневное полоскание морковным или капустным соком, приготовленным непосредственно перед процедурой;
- обработка боковой поверхности целебным лекарством – смесью из одной чайной ложки меда, яичного белка, 0,5 ст. л. растительного масла и одной ампулы новокаина;
- полоскание с борной кислотой, растворенной в воде.
Этими народными способами можно существенно унять болезненность на языке, устранить воспалительную реакцию, убрать патогенную микрофлору. Народные средства можно применять вместе с назначенными врачом препаратами, поскольку такие методики не вредят, а только улучшают терапию недуга.
Раздражение
Жжение и боль в языке могут вызывать любые раздражающие факторы, негативно влияющие на слизистую и иммунитет:
- курение табака;
- алкоголь;
- употребление газировки, соков, солёной и острой пищи, а также других продуктов, напитков или лекарств, раздражающих ротовую полость.
Чёрный «волосатый» язык – патология, причины которой точно не известны. Предполагается, что провоцирует проблему курение и алкоголь, попадание бактерий в слизистую. Боль при «волосатом» языке выражена не сильно, а иногда и вовсе отсутствует.
Симптомы:
- чувство дискомфорта, словно во рту – инородное тело;
- онемение языка;
- потемнение слизистой, появление «волос» (удлиненных сосочков языка);
- поражается ограниченная область с округлыми или треугольными очертаниями.
Возможные осложнения
При отсутствии терапии болезнь быстро прогрессирует, к болевым ощущениям прибавляются симптомы воспаления, патология распространяется на здоровые ткани, гортань, миндалины, голосовые связки.
Если боль связана с аллергией, возможно перекрытие дыхательных путей по причине отечности языка и слизистых ротовой полости, горла. Без своевременной помощи повышается риск летального исхода.
Когда дискомфорт связан со стоматитом, существует риск некроза тканей, перехода болезни в хроническую стадию. Онкологические болезни без соответствующего лечения развиваются стремительно.
Онкология
При онкологии боль сосредоточена в глубине языка. Ощущения зависят от стадии рака. Вначале это лишь незначительный дискомфорт. Серьёзные симптомы возникают позднее. Сначала пациент обращается к стоматологу или терапевту, а они направляют его к онкологу.
Причины, вызывающие рак языка:
- Действие канцерогенов. Спровоцировать опухоль может курение, жевательные смеси. Усиливает вредное влияние употребление алкоголя.
- Вредное производство. Рак языка случается у людей, испытывающих влияние ртути, свинца, работающих с асбестом или нефтепродуктами.
- Вирусы. Вирусные инфекции – частые провокаторы онкологии. Герпес, папилломы и ВИЧ могут трансформировать здоровые клетки в раковые.
- Хроническое травмирование ротовой полости. Это может происходить, например, из-за кустарно сделанных протезов, ошибок пломбирования или из-за постоянного прикусывания слизистой.
Папилломовирусом заражены 60% всего населения планеты и 70% женщин. ВПЧ – одна из самых распространённых причин рака.
Особенности боли
Боль, проявляющаяся на любой части языка, называют глоссалгией. Для такого патологического отклонения характерно появление признаков воспаления, когда слизистая приобретает красноватый оттенок. Глоссалгия никогда не является самостоятельной болезнью, она всегда выступает в качестве вторичного фактора, спровоцированного определенной патологией.
Чаще всего появление дискомфортных ощущений на кончике языка не бывает связано с употреблением специфической пищи — острых или соленых блюд. Но воспаление на слизистой может усиливаться, если на травмированную область попадает соленая, кислая или острая пища.
Читайте также: Диагностика рака костей: симптомы и проявления опухоли на ранней стадии
Определить без диагностических исследований провоцирующий фактор патологии очень сложно.
Специфические инфекции
Поражение языка, сопровождающееся болью, могут вызвать инфекционные заболевания – сифилис и туберкулёз. Последнее вызывает туберкулёз языка. В начале патологии – появление небольшого уплотнения на языке. В этом туберкулёзном бугорке происходит размножение возбудителей. Далее бугорок трансформируется в язву, которая становится причиной сильных болей.
Туберкулёз языка сопровождается симптомами:
- увеличение лимфоузлов;
- ухудшение состояния;
- потеря веса;
- усиленная потливость;
- длительно держится температура 37°С.
При сифилисе на языке появляются уплотнения и пятна. Орган может распухать. Боль – слабовыраженная.
Функции
Распространенное мнение, что язык человеку необходим для того, чтобы говорить. Но он также является органом осязания и вкуса, помогает пищеварительному тракту переваривать пищу.
Существуют и другие функции:
- защитная — слизистая органа препятствует внедрению патогенных микроорганизмов, вирусов, инфекций и грибков;
- чувствительная — реагирует на внешние проявления — холод, боль, прикосновения и т. п.;
- пластическая — поврежденные при различных ситуациях клетки и ткани способны быстро регенерироваться и восстанавливаться;
- всасывающая — благодаря слизистой языка происходит процесс проникновения и всасывания в организм различных лекарственных препаратов.
Даже самые незначительные изменения, происходящие на поверхности слизистой (изменение оттенка, появление боли, трещин и т. п.), указывают на нарушение функциональности внутренних органов или систем.
Если появляется боль и дискомфорт на языке, то это должно стать сигналом для обращения к врачу. Экстренный визит к медикам необходим, если боль сопровождается отеком, покраснением слизистой и другими симптомами.
Грибковые заболевания
Грибок способен поразить любого человека, но, чаще других, он возникает у пожилых людей и у грудных детей – у них иммунитет работает хуже, чем у других. Проблему вызывает грибок Candida. Когда создаются благоприятные факторы, они начинают усиленно размножаться – возникает «молочница».
Спровоцировать активизацию грибка могут такие факторы:
- приём антибиотиков;
- беременность;
- нехватка витаминов В, С, РР;
- туберкулёз;
- дисбактериоз;
- сахарный диабет;
- заболевания желудка;
- неправильный прикус;
- ношение зубных протезов;
- кариес;
- курение и прочие вредные привычки.
Candida – дрожжевой грибок, относимый к условно патогенной флоре. Это обычные обитатели слизистых, а возбудителями болезни становятся при неблагоприятных обстоятельствах. При активизации грибка появляются симптомы:
- отёчность языка;
- жжение и зуд;
- болезненность во время еды;
- плохое восприятие вкуса.
Налёт со временем перетекает с языка на губы и щёки – с внутренней стороны, далее охватывает весь рот, горло и миндалины.
Строение органа
Язык имеет 3 части — корень, тело, а также верхушку. Каждая из частей покрыта эпителием и слизистой оболочкой, поверхность которой оснащена различными видами сосочков (грибовидные, нитевые, желобовидные, листовидные).
- Нитевыми сосочками покрыта вся поверхность органа. По строению они напоминают форму тонких нитей, за что и получили свое название. Нитевые сосочки не имеют вкусовых луковиц.
- Листовидные сосочки располагаются с боков и с задней части органа. Они похожи на маленькие складки. У листовидных сосочков имеются вкусовые луковицы.
- Грибовидные сосочки располагаются в центре и на верхушке языка. Они представляют собой маленькие красные точки, в эпителии грибовидных сосочков присутствуют вкусовые луковицы.
- Желобовидные сосочки располагаются в задней части и в теле органа. Среди всех других, желобовидные сосочки самые крупные, но в них также содержатся вкусовые луковицы.
По всей мышечной ткани языка располагаются кровеносные сосуды.
Ожог языка после приёма лекарств
Многие лекарства сделаны на основе спирта, щелочи или кислоты. При большой концентрации указанных веществ, препараты способны обжечь слизистую рта. Пользуясь медикаментами на спирту, щелочными или кислотными средствами, следует строго соблюдать рекомендации производителя и врача.
Так, например, многие народные рецепты предусматривают излечение заболеваний полости рта нашатырным спиртом. Результатом такого лечения становится ожог. Нашатырь включает в себя щелочь, поэтому человек получает ильный химический ожог.
Симптомы повреждения слизистой после приёма агрессивных препаратов:
- язвы;
- болезненность;
- зуд;
- отёк;
- красные пятна.
Без лечения ожога, через 10-12 часов начинается некроз
Лечебные мероприятия
Лечение обычно назначают узкие специалисты. Основные направления в лечении причины болей языка по бокам.
Устранение стоматологических заболеваний
Врач устраняет дефекты с кариозных зубов, пломбирует их. Проводит консультацию по уходу за зубами и ротовой полостью. Если установлен диагноз «Стоматит» или Глоссит, то лечение всегда проводится препаратами с антибактериальным действием. Лекарственные средства могут быть разной формы:
- Мази, гели. Камистад – гель, в основе имеет обезболивающий компонент лидокаин и природный антисептик – ромашку. Холисал – гель с антибактериальным, противовоспалительным и анестезирующим действием.
- Аэрозоли, спреи. Каметон оказывает противомикробное, противовоспалительное и местное анестезирующее действие. Также назначаются Гексорал, Ингалипт, раствор Люголя.
- Средства для полосканий, орошений, ингаляций. Ингафитол , Стоматидин, Мирамистин оказывают антисептическое действие.
- Таблетки и пастилки для рассасывания. Эвкалипт М – пастилки для рассасывания с растительными компонентами.
В зависимости от вида стоматита, наряду с вышеуказанными лекарственными средствами назначаются противовирусные, антигистаминные или противогрибковые средства.
Обязательно назначаются препараты, ускоряющие заживление слизистой оболочки полости рта: Солкосерил, масла Облепихи и Шиповника, Каротолин, бальзам Шостаковского (Винилин), Пропосол спрей. Назначаются витамины и средства, укрепляющие иммунитет.
Хорошо помогают лечить мелкие ранки в домашних условиях полоскания следующими растворами:
- Слабым 1% раствором марганцовки.
- Отваром ромашки. Ромашка обладает противовоспалительными и антисептическими свойствами.
- Отваром коры дуба. Кора дуба известна своими противовоспалительными, ранозаживляющими свойствами.
- Настоем шалфея. Поможет немного обезболить, окажет противовоспалительное, антисептическое действие.
Устранение травм от неправильно поставленных протезов
Или некачественно установленная пломба. Стоматолог устраняет дефекты пломбы, протезов. Если установлены более сложные конструкции протеза, то направляет к протезисту или ортодонту.
Заживление мелких травм, ожогов языка
Назначаются полоскания отварами лечебных трав или антисептическими растворами аптечного изготовления. До момента заживления рекомендуется механически, термически и физически щадящая пища.
Лечение заболеваний желудочно-кишечного тракта
В данном случае терапевт или гастроэнтеролог после уточнения диагноза назначают лекарственные препараты для устранения основной причины: антацидные препараты, ингибиторы протонной помпы, ферменты, пробиотики, антигельминтные лекарственные средства, препараты против Helicobacterpillory.
Устранение эндокринных нарушений
Эндокринолог назначает гормональные препараты для улучшения гормонального фона. В случае выявления сахарного диабета проводится адекватная терапия и контроль уровня сахара крови.
Предотвращение и устранение нервно-психических расстройств
Лечение проводится у невропатолога, психиатра в течение длительного времени. Назначаются общеукрепляющие, обезболивающие, успокаивающие средства.
Лечение онкологического заболевания
Выявленная онкологическая патология, возможно, будет лечиться в течение долгого времени онкологами и хирургами с применением сильнодействующих лекарственных препаратов.
Устранение аллергена
Терапевт или аллерголог, после уточнения характера аллергена, назначает антигистаминную терапию. Из продуктов питания исключаются потенциально опасные продукты.
Читайте также: Облепиха – полезные свойства и противопоказания, польза и вред
Отказ от курения
При выявлении любой из патологий, на время лечения назначается химически, термически, физически щадящая пища. Еда должна быть теплой, полужидкой без твердых включений. Исключаются разные приправы, кислые, соленые продукты.
Другие причины боли в языке
Боли в языке могут быть спровоцированы определёнными заболеваниями внутренних органов. Узнаем о заболеваниях, которые чаще других вызывают болевые ощущения в языке.
Лимфаденит подчелюстной
Это воспалительный процесс в подчелюстных лимфоузлах. Боль локализована под языком. Спровоцировать это состояние могут такие заболевания:
- хронический тонзиллит;
- длительно текущий кариес;
- пульпит;
- инфекционное поражение дёсен.
Боль под языком обычно усиливается к вечеру, часто человек температурит. Под нижней челюстью можно нащупать лимфоузлы – большие и болезненные.
Воспаление слюнной железы
Воспаление поднижнечелюстной и подъязычной сопровождается такой симптоматикой:
- сухость в ротовой полости;
- боль под языком усиливается во время еды;
- под нижней челюстью, слева или справа, прощупывается уплотнение – воспалённая железа.
Слюнокаменная болезнь
Это довольно редкое заболевание сопровождается образованием камней поднижнечелюстных и в подъязычных железах.
Симптомы патологии:
- Боль в подъязычной области слабо выраженная, она то возникает, то пропадает.
- Часто боль провоцирует острая пища, вызывающая активное слюноотделение.
- Боль сильная, похожа на колики.
Тонзиллит
При ангине боль локализована в основании языка, и особенно проявляется во время глотания. Также болит и горло. Симптомы ангины – высокая температура и недомогание.
При тонзиллите наблюдается воспаление лимфоузлов, и боль у основания языка усиливается. В худшем случае ангина заканчивается абсцессом, при котором миндалины накапливают в себе гной.
Невралгия
Выявление истинной причины болей в языке, спровоцированных невралгиями, довольно сложное занятие. Среди наиболее распространённых факторов:
- эндокринные нарушения;
- неврогенные нарушения;
- стрессы и психоэмоциональные потрясения.
Глоссалгия – заболевание, при котором в языке появляются боли без всякого повода.
Симптоматика глоссалгии:
- покалывание языка;
- жжение;
- онемение;
- язык быстро устаёт при говорении.
Ларингит и фарингит
Ларингит – это воспаление гортани, при котором иногда наблюдается болезненность языка. Симптомы патологии:
- острое начало заболевания;
- повышение температуры, ухудшение общего состояния;
- сухость, царапающее ощущение в горле;
- кашель, сначала сухой, потом с мокротой.
- При охвате задней стенки гортани – боль из-за глотания.
При воспалении глотки (фарингите), может появляться боль в основании языка. Симптоматика – першение в горле, сухой или влажный кашель, температура.
Сердечно-сосудистые заболевания
Очень редкий случай – боль в языке вызвана приступом стенокардии или инфарктом миокарда. Появляется жжение и сдавливающая боль за грудиной, но, иногда болевые ощущения перетекают в язык. Это сбивает человека с толку – он идёт к отоларингологу или стоматологу.
При стенокардии, боль в языке возникает, как правило, при ходьбе, стрессах, физических нагрузках. После небольшого отдыха симптомы пропадают. Если причина – инфаркт, язык болит очень сильно. При том сильно падает артериальное давление, выступает холодный липкий пот, появляется бледность.
Стрессы
Боль в языке по причине психической патологии – явление распространённое. Характерные симптомы:
- жжение и покалывание;
- усталость языка при разговоре;
- онемение;
- боль в горле, на щеках, губах;
- спазмы в горле.
Боли в языке могут указывать на невроз или неврастению.
Патологические состояния
Есть масса состояний, при которых возникает реакция в виде боли и жжения в языке. Причиной указанных симптомов может стать:
- беременность;
- анемии – железодефицитная и В12-дефицитная;
- нарушение обмена веществ;
- заболевания желудка и кишечника.
Язык приобретает характерный пятнистый вид. На нём видны ярко-красные участки. Такой язык ещё называют «географическим».
Почему болит язык при травмах
В травматологии различают острые и хронические повреждения, при которых болит язык. Острая травма языка – это единичное воздействие механических, термических, химических или других факторов, приводящее к нарушению структуры, анатомической целостности тканей и физиологических функций органа. Язык защищен зубами и челюстями, поэтому его острые травмы происходят сравнительно нечасто. К ним приводят следующие ситуации:
- Тяжелые травмы лица с размозжением тканей;
- Удар снизу в нижнюю челюсть, под подбородок;
- Повреждение языка инструментами во время хирургических вмешательств и стоматологических процедур;
- Приступ эпилепсии;
- Ранение языка острыми предметами, например, во время еды.
При легких травмах боль проходит сама через некоторое время, а при тяжелых – необходимо хирургическое вмешательство.
Хроническая травма языка – это постоянные микроповреждения, в результате которых язык болит, немеет и немного распухает, а его слизистая оболочка краснеет. Хроническое травмирование может быть вызвано следующими обстоятельствами:
- Наличием во рту сломанных зубов с острыми краями;
- Неправильным прикусом;
- Некорректно установленными имплантатами, зубными протезами или ортодонтическими конструкциями;
- Использованием чересчур острого скребка для языка;
- Увеличением размеров языка, например при заболеваниях щитовидной железы.
К механическим повреждениям также относится пирсинг. Почему болит язык после прокалывания:
- Воспалительный процесс в результате инфицирования;
- Аллергия на материал, из которого изготовлена штанга;
- Повреждение нерва в ходе манипуляций.
Во избежание подобных осложнений следует пользоваться услугами профессионалов. В этих случаях процедура либо вовсе безболезненна, либо место прокола быстро заживает. Если же после пирсинга долго болит язык, то лечение должен назначить хирург.
Боли и жжение в языке может провоцировать курение за счет канцерогенных веществ, содержащихся в табачном дыме. При горении выделяются такие ядовитые компоненты, как угарный газ, метан, аммиак, ацетон, бензол, ацетальдегид и многое другое.
Довольно часто встречаются поверхностные ожоги, в результате которых язык болит и немеет. Обжечься можно горячей пищей или напитками, а также при употреблении алкоголя низкого качества или вдыхании едких паров на производстве. Ожоги, как правило, самостоятельно проходят через непродолжительное время. Однако в случаях, когда они сочетаются с ожогами ротовой полости и пищевода, следует немедленно обратиться в травматологический пункт.
Локализация боли и её причина
В зависимости от локализации боли, можно сделать предположения – какие причины её вызвали. Точный диагноз поставят специалисты. В первую очередь, нужно посетить отоларинголога и стоматолога.
Язык болит сбоку
Обычно болезненность боковой поверхности языка вызывают:
- механические повреждения;
- глоссит или глоссалгия;
- стоматит;
- аллергия;
- плохо подогнанные зубные протезы;
- курение;
- невралгия.
Независимо от причин боли, нужно обращаться к врачу (хирургу или стоматологу). Он поставит диагноз и назначит адекватное лечение.
Болит основание языка
Болезненность у корня языка доставляет большой дискомфорт – невозможно ни говорить нормально, ни есть. Причины болей у корня языка:
- Глоссалгия. При этой патологии боль способна сосредоточиться как на конце языка, так и у его корня.
- Аллергия. Может заболеть любой участок органа.
- Болезни ЖКТ.
- Авитаминоз. Наблюдается пощипывание.
- Флегмона и абсцесс. Это самые опасные причины болей. При этих патологиях больной не может прикрыть рот, из него неприятно пахнет, обильно течёт слюна, язык распухает, разговаривать крайне трудно, дыхание затрудняется.
Боль на кончике языка
Боль может сосредоточиться здесь по следующим причинам:
- Травмирование. Конец языка часто можно запросто прикусить или обжечь горячим – если спешить или нервничать. Хоть травма и маленькая, но она очень болезненна. Заживление обычно проблем не вызывает – микротравма проходит самостоятельно.
- Глоссалгия. Заболевание часто сопровождается сосредоточением боли именно на конце языка, реже на боках органа.
- Глоссит. Воспаление, сопровождаемое невыносимой болезненностью.
- Стоматит. Заболевание вызывает язвы – они покрывают язык, включая его кончик.
- Аллергия может охватить весь язык, включая и его кончик.
Боль в центре
Боль посередине языка может возникнуть из-за:
- разного рода повреждений – механических или химических;
- воспалительных процессов;
- невралгии;
- аллергии;
- внутренних заболеваний.
Чаще всего, дискомфортное чувство возникает из-за образования трещин. Рекомендуется продезинфицировать ротовую полость. Но в любом случае, самолечением заниматься не стоит – надо обратиться к специалисту. Помочь может терапевт, отоларинголог, стоматолог – специального врача «по языкам» нет.
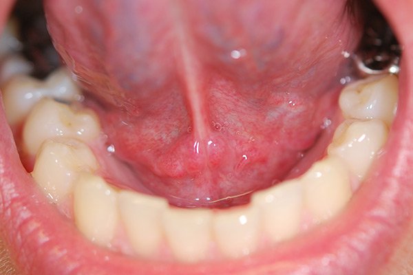
Болит уздечка языка
Если болит уздечка языка, человеку трудно разговаривать и есть, что очень ухудшает качество жизни. Причиной болезненности уздечки может стать:
- Глоссалгия. Синдром сопровождается болезненным жжением, покалыванием и пощипыванием. Проблема связана с неполадками в ЖКТ, гормональными нарушениями, патологией нервной системы.
- Аллергия. Может проявиться из-за продуктов, косметики, лекарств и т.п. Боль возникает в любом месте, в том числе и в уздечке языка.
- Авитаминоз и гипервитаминоз. Боли под языком, в уздечке, могут возникнуть при нехватке витаминов, микроэлементов и прочих полезных веществ. Бывает, подъязычная область даже отекает.
- Абсцесс и флегмона. Воспаления, при которых образуются гнойные очаги, в том числе и в области уздечки. Возникают они из-за проникновения разных инфекций в мягкие слизистые полости рта.
Симптомы
Определяющий симптом всегда один — болезненные ощущения разной интенсивности, проявляющиеся в покое или во время разговора, приема пищи. Орган может быть отечным, наблюдается гиперемия слизистых оболочек, белый налет, неприятный запах изо рта.
Многие пациенты говорят о нестерпимом жжении по всей площади языка или на больной стороне. Общее состояние обычно не ухудшается, но человек угнетен, быстро устает, у него отсутствует аппетит, больно глотать.
При длительном течении патологического процесса может повышаться температура тела, особенно при условии присоединения инфекции, наличии очага воспаления в организме.
В запущенных случаях пациент отказывается даже от жидкости, на органе появляются трещины, налет превращается в корку, речь затруднена, человек не в состоянии внятно рассказать о своих ощущениях.
Локализация
Часто пациенты говорят о том, что язык болит посередине или по центру. Но локализация ощущений разная. Дискомфорт может ощущаться на кончике, у основания, по бокам, то есть справа, слева.
В тяжелых случаях боль распространяется на всю площадь и слизистые оболочки ротовой полости, ухудшая общее состояние человека, делая невозможным прием пищи, жидкости, нормальный разговор.
Что делать при боли в языке?
Если дискомфорт от боли в языке небольшой, можно попытаться устранить его домашними методами. Чтобы устранить жжение, раздражение и болезненность повреждённого или воспалённого языка, можно использовать один или несколько нижеприведённых методов:
- Прополоскать ротовую полость холодной водой. Такой способ поможет, если был прикушен язык. Полоскание удалит кровь и остатки еды – если прикусывание произошло во время приёма пищи. Если язык прикушен сильно, нужно поскорее обратиться к медикам.
- Подержать во рту лёд. Прополоскав ротовую полость водой, можно ещё подержать в ней ледяной кубик – чтобы снять отёк и уменьшить боль. Рассасывая лёд, можно успокоить раздражение после прикусывания или ожога. Тающий лёд сохраняет ротовую полость увлажнённой, препятствуя пересыханию языка.
- Прополоскать рот солевым раствором. Полоскание очищает полость рта и уменьшает боль. Полоскания делают каждые 2 часа – пока боль не стихнет. Для приготовления солевого раствора берут столовую ложку соли, и размешивают её в стакане тёплой воды. Рот полощут 30 секунд.
- Пить много воды. Это важно для предотвращения пересыхания ротовой полости. Питьё – вода, прохладный сок, в достаточном количестве способствует выздоровлению. Не стоит пить чай и кофе – они могут усугубить дискомфорт.
Если язык повреждён и воспалён, нужно избегать употребления пряных и кислых продуктов. Зубы чистят пастой для чувствительных зубов, без корицы и мяты. Чтобы дискомфорт не усиливался, придётся оказаться от курения.
К какому врачу обращаться
При появлении первых признаков болезни рекомендуется обратиться к стоматологу. Он осмотрит ротовую полость, направит пациента к терапевту или отоларингологу. Если врач предполагает наличие болезней внутренних органов, дополнительно назначается консультация эндокринолога, гастроэнтеролога, хирурга.
Осмотр и исследования
На приеме у специалиста диагностика проходит в несколько этапов.
Обычно манипуляции выполняются в такой последовательности:
- Опрос больного, осмотр полости рта на наличие язв, ран, порезов, проколов. Врач уже на этом этапе выявляет предположительную причину нарушения.
- Осмотр кожных покровов, слизистых оболочек, пальпация живота, выслушивание легких. Меры необходимы для определения общего состояния пациента, присутствия других клинических проявлений.
- Лабораторное исследование мазка из носоглотки поможет выявить тип возбудителя, его чувствительность к тем или иным препаратам.
- Общий анализ крови и мочи покажет правильность предположений специалиста, присутствие в организме очагов воспаления.
- У женщин дополнительно проводится забор крови на гормоны.
- Ультразвуковое исследование показано в случае подозрения на патологию желудочно-кишечного тракта.
- Магнитно-резонансная томография назначается при наличии симптомов онкологического заболевания.
После получения результатов диагностического обследования специалист назначает соответствующее лечение.
Народные рецепты
Если причина болевого синдрома не связана с заболеванием внутренних органов, можно – для облегчения состояния, использовать народные рецепты:
- Столовую ложку чистеца болотного заливают стаканом кипятка. Настаивают 2 аса. Полощут рот дважды в день на протяжении 10-ти дней. Затем перерыв 3 дня, после него – повторение курса.
- Полоскать рот настоями трав – мяты, ромашки, зверобоя, пустырника.
- Если на языке трещины, полощут рот дубовым отваром. Берут кору дуба – столовую ложку, заливают стаканом холодной воды, ставят на медленный огонь, кипятят 20 минут. Полощут рот 5-6 раз в день.
- Сухой шалфей – столовую ложку, разводят стаканом кипятка. Настаивают 2 часа. Полощут рот охлаждённым раствором.
- Натереть картофелину, отжать в марле. Полученный «компресс» прикладывают к языку. Соком картофеля можно полоскать рот.
- Для болеутоления можно использовать персиковое, облепиховое и шиповниковое масло.
Лечение
Опытные врачи подскажут, чем лечить патологию в зависимости от причины ее возникновения. Несмотря на многообразие предрасполагающих факторов, подход к терапии почти всегда одинаков.
Классическая схема предполагает назначение таких препаратов:
- Антибактериальные препараты показаны в случае, когда болевой синдром стал результатом глоссита, ангины, стоматита, тонзиллита, ларингита. Помогают остановить размножение патогенных микроорганизмов, устранить острые симптомы. Эффективными считаются: Амоксициллин, Эритромицин, Цефтриаксон, Сумамед. Курс длится не менее 10 дней, дозировку определяет специалист с учетом тяжести состояния больного.
- Антисептические растворы для полоскания рта: Хлоргексидин, Мирамистин. Назначаются в любом случае, помогают исключить вероятность распространения бактерий на здоровые ткани. Процедура проводится не реже 2 раз в сутки на протяжении 7-10 дней.
- Местные анестетики: Лидокаин Асепт, раствор Тримекаина. Избавляют от боли на некоторое время, применяются в чистом виде для обработки пораженных участков. Длительность использования индивидуальна, доза согласуется с врачом.
- Антигистаминные препараты показаны в случае аллергической этиологии заболевания. Часто назначается Зодак, Цитрин, в тяжелых случаях Дексаметазон.
- Медикаменты с регенерирующим эффектом назначают при сочетании боли со стоматитом, гингивитом, химическими ожогами слизистой. Безопасным и эффективным средством будет облепиховое масло.
- Витаминные комплексы, например, Компливит применяются почти всегда с целью укрепления иммунной системы.
В случае, когда боль связана с развитием онкологического заболевания, используются специальные лекарства из группы цитостатиков, например, Метотрексат. Назначается исключительно врачом.
Медикаментозное лечение
По результатам анализов назначают комплекс препаратов, направленных на устранение конкретной патологии или возбудителя. Если анализы не выявят причины болевого синдрома, кроме повреждения языка, то для снятия боли выписывают:
- Обезболивающее – Амитриптилин, Оланзапин, Амисульприд. Это блокираторы гамма-аминомасляной кислоты, вызывающей жжение в полости рта. Также могут прописать препараты, отпускаемые без рецепта – парацетамол, Ибупрофен, Аспирин.
- Спрей и леденцы. Для снятия болевого синдрома можно использовать лёгкие анальгетики. Их употребляют с интервалом в 2-3 часа.
- Капсаициновая мазь. Это наружный препарат для местного применения. Снимает боль, блокируя сигналы боли. Применяют 3-4 раза в сутки. Сначала мазь усиливает жжение, но через время оно уменьшится. Нельзя использовать длительно – ткани языка могут потерять чувствительность.
- Анестезирующие жидкости с бензидамином (нестероидный противовоспалительный препарат) – для полоскания ротовой полости. Снимает боль и припухлость.
Методы лечения языка при жжении, воспалении, раздражении – в таблице 1.
Таблица 1
| Причины | Лекарственные средства |
| Инфекции, незначительно травмирование | Полоскание Фурацилином, Хлоргексдином, раствором марганцовки (слабым) |
| Воспаление из-за инфекций, простудных патологий, глоссита и стоматита | Спрей Мирастамин (антисептик) |
| Травмирование языка | Раствор Люголя в глицерине |
| Неврологическая патология | Нейролептики (Либриум) и антидепрессанты (Амитриптилин) |
| Стоматологическое вмешательство | Обезболивание – Кетонал, Кетанов |
Первая помощь в домашних условиях
О том, что делать, если болит язык лучше узнать у специалиста. Посетить врача сразу после обнаружения симптомов не всегда возможно. Оказать себе помощь в домашних условиях вполне реально.
Последовательность действий следующая:
- Принять анальгетик для ослабления болевых ощущений. Обычно в домашней аптечке присутствует Анальгин, Ибупрофен или Кеторол. Достаточно 1 таблетки для облегчения состояния. Не стоит длительно принимать обезболивающее.
- Снять местные симптомы воспаления помогут полоскания ротовой полости содовым раствором. Для приготовления понадобится стакан теплой кипяченой воды, чайная ложка соды. Процедуры проводить трижды в сутки до облегчения симптомов.
- Ослабить нервное напряжение поможет настойка пустырника или валерианы, приобретенная в аптеке. Разовая дозировка составляет 25 капель, разведенных в 100 мл воды.
Подобные манипуляции не заменят квалифицированной врачебной помощи, не смогут вылечить пациента и предотвратить осложнения.
Когда стоит бить тревогу?
Если домашние средства испытаны, но не принесли успеха, надо обратиться к врачу. Сигналом к посещению специалиста могут стать болевые ощущения, а также традиционные симптомы раздражения – налёт на языке, язвы и шишки, жжение. Чтобы поставить диагноз, врач отправляет пациента на анализы – мазки, кровь, биопсия, тест на аллергию, проверка кислотности, уровня тревожности и депрессии.
Дискомфорт и непроходящая боль в языке, особенно если причина её непонятна – чёткий сигнал для посещения врача. Скорее всего, врач для облегчения состояния выпишет препараты и назначит процедуры.
Почему у ребенка болит язык и слизистая оболочка полости рта
У детей язык болит по тем же причинам, что и у взрослых. Однако следует обратить внимание на следующее:
- Болезненность кончика языка может быть вызвана травмой, начинающимся стоматитом, аллергией.
- Боль в языке сбоку часто является результатом травмы, особенно в период прорезывания зубов, аллергии, особенно если язык припух, стоматита.
- Корень часто распухает и болит на фоне вирусных и инфекционных заболеваний (ОРВИ, ангина).
Независимо от выраженности болевого синдрома необходимо незамедлительно обратиться к участковому педиатру. Нельзя лечить маленьких детей самостоятельно. В случае если нет возможности обратиться к врачу в день обнаружения симптоматики, можно использовать безобидные народные обезболивающие средства:
- дать ребенку чай с ромашкой, которая обладает противовоспалительным и успокаивающим эффектом;
- уговорить малыша сделать ротовую ванночку (удерживание жидкости во рту) или прополоскать рот слабым содовым раствором.
Необходимо скорректировать детский рацион. Употребляя им пища должна быть мягкой, теплой и не раздражающей поврежденную и воспаленную слизистую оболочку ротовой полости. Следует исключить из ежедневного детского меню острые, пряные и кислые блюда.
Профилактика
У здорового языка розовый цвет, на нём нет налёта, шипов, болезненности. От механических повреждений и инфекционных болезней никто не застрахован. Но предотвратить патологические состояния вернее, сократить вероятность их возникновения, поможет профилактика.
Чтобы не возникало проблем с языком, нужно:
- Регулярно проходить осмотр у стоматолога.
- Соблюдать гигиену полости рта.
- Придерживаться здорового образа жизни – крепкий иммунитет создаёт препятствие для развития бактерий и инфекций, провоцирующих болезни.
Если в ротовой полости возник дискомфорт, не откладывайте визит к врачу. Затрудненность речи и питания, а также болевой синдром создают невыносимые условия, требующие безотлагательного вмешательства медиков. Своевременная диагностика не только помогает назначать адекватное лечение, но и выявлять серьёзные патологии на ранних стадиях.
Самостоятельная диагностика
При появлении болевого синдрома необходимо обратиться к специалисту. В домашних условиях человек может провести самостоятельную диагностику. Стать перед зеркалом, высунуть кончик языка, проверить наличие или отсутствие травм, прыщей, гнойничков.
После этого чистой ватной палочкой можно слегка нажать на разные участки с целью определения мест наибольшей болезненности. При широком открытии рта есть возможность увидеть язвочки или повреждения, провоцирующие боль.
Не стоит сразу ставить себе диагноз и отказываться от посещения врача. Многие болезни, провоцирующие неприятные ощущения, протекают бессимптомно.
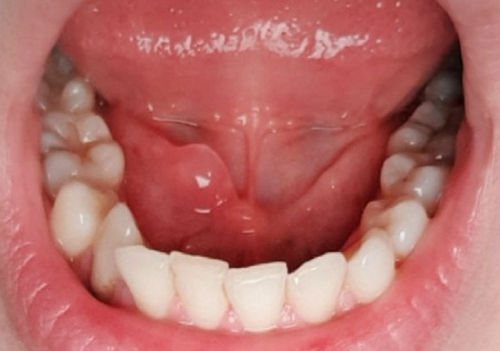
Что делать, если опухло и болит под языком
Основное правило — обратиться к врачу: отоларингологу либо стоматологу. До визита в клинику можно полоскать рот чуть теплым составом на основе череды, ромашки либо календулы (на 300 мл кипятка — полная столовая ложка природного сырья, настаивать в термосе 30 минут).
Читать также: Как выбрать ополаскиватель для рта
5 правил для пациента:
- Отказаться от грубой пищи и крупных кусков, острого, кислого, соленого, жареного, очень сладкого.
- Следить за гигиеной полости рта, использовать качественную пасту с травяными экстрактами или прополисом, тщательно мыть зубную щетку.
- Пользоваться отдельной посудой, чтобы предупредить инфицирование других членов семьи.
- Не заниматься самолечением, как можно скорее посетить профильного специалиста.
- После заживления проблемных участков полости рта уточнить меры профилактики для предупреждения рецидивов сиалоаденита, стоматита, аллергических реакций.
Болезненна ли процедура снятия?
Снятие брекетов практически всегда является совершенно безболезненной процедурой, тем более что снимать их намного быстрее, чем устанавливать и активировать.
Пациенты, особенно если это дети, могут испугаться инструментов, которые используются для снятия – специальных щипцов. Однако во время этой процедуры не затрагиваются нервные окончания, поэтому боли быть не должно.
Может быть, небольшой дискомфорт, который проходит сразу после ее завершения.
Если на любом из этапов ортодонтического лечения пациент начинает испытывать болевые ощущения, в первую очередь, ему необходимо записаться на прием к своему лечащему врачу, который выяснит причину и сможет предпринять определенные меры для ее устранения.
Если вы нашли ошибку, пожалуйста, выделите фрагмент текста и нажмите Ctrl Enter.
Народными средствами
Народные методы терапии подобного состояния предполагают проведение процедур промывания или полоскания ротовой области растворами трав и лекарственных препаратов. Основное место среди них занимают настои календулы, ромашки, эхинацеи и шиповника.
Они способны качественно провести дезинфекцию ротовой области и снять симптоматику этого состояния.
Также народные способы проведения лечения предполагают выполнение гимнастических упражнений для обеспечения подвижности языковых мышц, что позволит обеспечить их дополнительную подвижность и нагрузку.
Также эффективно проведение лечения с применением способов народной медицины в сочетании с медициной нетрадиционной.
Диагностика
Сразу сложно разобраться, почему болит язык. Травмы или ожог горячей пищей определить без помощи специалиста проще, для диагностики стоматологических заболеваний, системных патологий требуется помощь узких специалистов.
Вначале посетите стоматолога. Врач осмотрит поражённый участков, даст заключение. Возможно, консультация других докторов не понадобится.
После выявления некачественных протезов, плохо обточенных пломб, острых краёв полуразрушенных единиц, зубной врач исправит дефекты сам. Если обнаружены травмы из-за трения ортопедических или ортодонтических конструкций, доктор направит к узкому специалисту: ортодонту, протезисту.
Если у стоматолога нет серьёзных претензий к состоянию полости рта, требуется углублённое обследование. Часто оказывается, что язвочки, болезненность языка вызваны сбоями в работе желудка, проникновением инфекции из носоглотки или аллергией на сильнодействующий препарат.
Посетите:
- терапевта;
- эндокринолога;
- гастроэнтеролога;
- дерматолога;
- аллерголога;
- хирурга.
Понять, что стало причиной болезненности в области языка, помогут клинические исследования:
- общий и развёрнутый анализ крови;
- контроль уровня гормонов поджелудочной железы;
- анализ мочи;
- УЗИ органов брюшной полости;
- исследование секреторной функции желудка;
- рентгенография желудка с контрастным веществом;
- МРТ или КТ (томограмма) для исключения онкопатологий.
Важно! Не отказывайтесь от обследования! При дальнейшем действии провоцирующих факторов состояние полости рта ухудшится, патологический процесс перекинется на другие области.
Строение дна ротовой полости
Ротовая полость человека – это первый отдел пищеварительной системы. В нем размещены зубы, язык, небо, десна, миндалины, глотка. Самой главной функцией ротовой полости считается прием пищи, переработка и дальнейшее отправление ее по глотке, пищеводу в желудок. Зубы перетирают пищу, десна защищают зубы, миндалины несут функцию защиты всего организма, кроветворную функцию. С помощью язычка, который размещен рядом с миндалинами, человек воспроизводит звуки, может говорить.
Ротовая полость состоит из двух основных частей: преддверия и сама ротовая полость. Преддверие размещено между зубами и губами, основные функции которых – это прием и удержание пищи. Так как все тело человека покрыто защитным слоем, кожей, так и ротовая полость покрыта слизистой, которая не только защищает ее, но и покрыта слюнными железами. Слюна в свою очередь помогает перерабатывать пищу в начальной стадии, размягчать ее перед прохождением по пищеводу.
Главную роль в переработке пищи осуществляют зубы. У здорового человека их 32. Впереди, сразу за губами, размещены резцы. Они надкусывают пищу. Далее идут резцы, которые более тщательно перерабатывают еду. Затем малые и большие коренные зубы, они уже перетирают пищу до образования однородной массы для облегчения прохождения по глотке, пищеводу.
Помогает зубам переработать пищу язык. Его строение довольно интересно, особенно если учесть тот факт, что на такой маленькой площади размещены множество рецепторов, чувствующих определенный вкус пищи. Проще говоря, язык – это мышца, укрытая вкусовыми сосочками, которые хорошо видны невооруженным глазом. Наряду с функцией переработки пищи язык еще способствует возможности разговаривать. Язык очень чувствителен, ведь кроме вкусовых рецепторов, он просто усыпан нервными волокнами.
Возможные заболевания
Чаще всего встречаются следующие патологии:
- Глоссит. Воспаление языка, вызванное бактериальной или вирусной инфекцией. Проявляется в виде отечности органа, появления на нем налета и пятен неправильной формы. Нарушается слюноотделение, появляется отталкивающий запах и язвы. Существует несколько разновидностей глоссита, каждая из которых имеет специфические симптомы. Для устранения болезни используют антисептические полоскания и аппликации. Для заживления язв наносят гели, ускоряющие регенерацию тканей. В зависимости от возбудителя назначают антибиотики, противовирусные или противогрибковые средства.
- Скарлатина. Инфекционная болезнь, вызванная стрептококком. Начинается с появления жара, недомогания, головных болей. На слизистых ротовой полости появляется мелкая сыпь. Она распространяется на пах, сгибы конечностей, туловище по бокам. Через пару дней на языке появляются зернистые наросты, орган приобретает малиновый цвет. Постоянный спутник скарлатины – ангина. Лечение обычно проводится амбулаторно с помощью антибиотиков, инфузионной терапии, приема витаминов. Пациентам показано особое питание и постельный режим.
- Корь. Инфекционное вирусное заболевание, поражающее органы дыхания, ротовую полость, глаза. Очень заразная болезнь, нередко приводящая к смерти. Характеризуется резким повышением температуры и другими признаками простуды. Затем возникает конъюнктивит, появляются красные и белые пятна на языке, небе, внутренней поверхности щек. Затем высыпания распространяются на все тело. Лекарство от кори до сих пор не изобретено. Применяется симптоматическое лечение. Рекомендуется применение витамина А для снижения риска летального исхода.
- ЗППП. Венерические заболевания могут поражать и слизистую ротовой полости, если заражение произошло во время орального секса. На оболочках появляются сыпь и язвочки, которые могут значительно распространяться. Там же образуется гнойный налет. Нередко такие симптомы сочетаются с высыпаниями на гениталиях. Больным назначают антибиотики и антисептические средства для местного применения.
- Плоский лишай. Кожное грибковое заболевание. Иногда поражает слизистую рта. Характеризуется появлением многочисленных сероватых узелков, сливающихся вместе, и напоминающих по очертаниям паутину. В зависимости от особенностей клинической картины и разновидности заболевания назначают противогрибковые и противовоспалительные препараты, средства для повышения иммунитета, кортикостероиды.
- Рак языка. Злокачественное новообразование в тканях эпителия и слизистой. Основная причина возникновения – курение. Также онкологию могут спровоцировать травмы, герпес и вирус папилломы человека. Сначала опухоль проявляется в виде белесых бляшек, уплотнений и красных пятен на языке по бокам. Затем появляется боль, повышается слюноотделение, увеличиваются поднижнечелюстные лимфоузлы. Часть органа немеет, его поверхность кровоточит. Возможно появление язв, наростов и трещин. Терапия рака комбинированная. Она включает химиотерапию, облучение и операцию вплоть до полного удаления органа.
- Лейкоплакия. Утолщение и ороговение эпителия. Возникает из-за механических повреждений, отравления химикатами, плохой работы ЖКТ. В ротовой полости появляются белые или серые участки, по консистенции напоминающие папиросную бумагу. Возможно образование трещин, эрозий, бородавок. При легком течении заболевания назначают эпителизирующие средства, анестетики, антисептики. В тяжелых случаях показано оперативное вмешательство.
- Афтозный стоматит. Воспаление ротовой полости, характеризующееся появлением желтых или белых пятен, окруженных красным ободком. Заболевшие чувствуют недомогание, у них повышается температура тела и увеличиваются близлежащие лимфатические узлы. Для лечения проводят антисептическую обработку полости рта и назначают симптоматическое лечение. В процессе выздоровления важно правильно питаться и укреплять иммунитет.
Также пятнистостью во рту проявляют себя заболевания ЖКТ и сердечно-сосудистой системы. В первом случае пигментация по форме напоминает карту материков, а во втором образуются синие пятна.
Локализация сыпи также многое говорит об очаге патологии. Так, если пятно появилось на самом кончике языка, есть какие-то неполадки в сердце и сосудах. Пигментация, расположенная близко к краю – признак патологии легких. Пораженный центр органа говорит о сбоях в работе селезенки. Чуть дальше – зона почек. На корне языка появляются признаки сбоев в работе кишечника. Высыпания на боковых частях сигнализируют о патологиях печени и желчного пузыря.
Вынос
Наиболее распространенные причины покалывания языка обычно могут быть точно определены при определенных обстоятельствах, таких как стоматологическая процедура, аллергическая реакция или ожог.
Если ни один из них не применим, человек должен рассмотреть другие симптомы, которые могут указывать на основное состояние.
Люди должны знать предупреждающие знаки об инсульте, особенно если они или их близкие подвержены повышенному риску инсульта.
Мы выбрали связанные элементы на основе качества продуктов, и Перечислите все «за» и «против» каждого из них, чтобы помочь вам определить, какой из них будет работать лучше всего
Почему под языком опухло и болит?
Многие забывают о значении языка как важного органа для здоровья и нормального функционирования организма в целом. И обращают внимание на состояние языка только в случае появления каких-либо неприятных симптомов, однако их появление может быть следствием развития определенного заболевания ротовой полости или болезни внутренних органов. Поэтому если под языком опухло и болит, то лучше сразу обращаться к врачу (стоматологу либо отоларингологу) для определения точных причин неприятных ощущений.
Методы лечения болевого синдрома языка
Чтобы понять причину заболевания языка, необходимо обратиться к отоларингологу или стоматологу.
В первую очередь необходимо обратится к специалисту, который квалифицируется на заболеваниях рта. Это врач -отоларинголог или стоматолог. Так как истинную причину языковых болей, может определить только врач, и назначит эффективное лечение.
Для лечения боли на кончике языка, в первую очередь необходимо исключить травматизацию.
Если причина в ожоге, необходимо просто выждать время, ранка сама заживет.
- Если боли на кончике языка из-за пирсинга, необходимо провести гигиенические процедуры полости рта: активные полоскания хлоргиксидином 0,05 % или растворами ромашки, шалфея.
- При болях в горле и белом налете, причиной может стать ангина или же воспалительные заболевания верхних отделов дыхательных путей.
- Сильная боль основания языка сопровождает воспаление миндалин, также возможна боль в правой или левой части, что свидетельствует о сильном воспалении на стороне поражения.
После лечения ангины или сопутствующих заболеваний боли утихнут сами по себе.
Если у вас или ребенка, сверху языка и по всей ротовой полости имеется белый налет, творожистой консистенции это говорит о кандидозном стоматите. Лечение такого заболевания назначает только врач, в домашних условиях без применения противогрибковых препаратов, симптомы не утихнут, а только усугубятся.
После лечения зубатакже возможны боли. Чаще они возникают после удаления задних корневых зубов, при отхождении анестезии. На месте удаленного зуба десна отекает, этот процесс затрагивает и языковую область, которая и начинает болеть.
В большинстве случаев, болезненные ощущения утихают через пару дней при регулярном полоскании. При длительном периоде заживления и безрезультативном лечении, необходимо незамедлительно обратится к стоматологу, причина — не сформировавшийся кровяной сгусток.
При наличии боли в языке нужно направиться к специалисту. Постараться как можно подробнее изложить симптомы, чтобы установить истинную причину заболевания. После этого врач определит надлежащее лечение.
Если установлено, что причиной боли послужила травма, то ранке нужно время, чтобы зажить. Иногда болевой синдром появляется после прокалывания, т.е. пирсинга. В этом случае рекомендуется выполнять мероприятия по уходу и соблюдать гигиену полости рта.
Болевой синдром в горле и белый язык могут послужить симптомами ангины. Воспаленные миндалины и лимфоузлы также вызывают болезненные ощущения. В данном случае нужно направиться к терапевту, который определит надлежащее лечение. По мере уменьшения воспаления и красноты боль в языке будет утихать.
При введении анестезирующих препаратов во время удаления зуба может возникнуть отек десны и боль в языке. Особенно это касается задних коренных. Однако болезненные ощущения проходят самостоятельно через несколько суток после проведения процедуры.
Как узнать, что стало причиной боли в языке? Начал болеть язык — каковы причины возникновения боли Почему болит язык — каков метод лечения? Что делать, если разболелся язык Что делать, если начал болеть язык, что стало причиной?
Общие принципы лечения (за исключением туберкулёза и сифилиса, требующих лечения у врачей узкого профиля в специальных медицинских учреждениях) остаются прежними. Прежде всего, проводится антисептическая обработка.
Лечение языка при болях обязательно включает в себя антисептическую обработку.
Медикаментозные препараты различаются в зависимости от возбудителя, вызвавшего появление болезни. Если это вирусы, то назначаются мази: 50% интерфероновая, оксолиновая, 0,5% флореналевая, теброфеновая. Если возбудители стрепто- и стафилококки, то назначаются антибиотики. При грибковом поражении назначаются антимикотические препараты.
Именно поэтому самолечение недопустимо ― если, к примеру, грибковое заболевание пытаться вылечить антибиотиками, то можно получить ещё больший всплеск грибковых поражений во всём организме.
Для грибковых болезней лучше подойдёт полоскание раствором борной кислоты.
При любом виде глоссита (воспаления языка) возможно полоскание противовоспалительными настоями лечебных трав. В конце процедуры проводится обработка заживляющими спреями и мазями. Обязательны общеукрепляющие препараты, повышающие иммунитет.
После постановки диагноза терапию проводит узкий специалист. При выявлении «букета» болезней требуется комплексное лечение.
Основные направления:
- травмы от протезов, некачественного пломбирования. Устранение дефектов, обработка тканей стоматологическими гелями, полоскание травяными отварами. Сок алоэ, раствор прополиса для обработки ранок. Важен деликатный уход за ротовой полостью;
- стоматологические заболевания. Врач пломбирует кариозные участки, даёт советы по уходу за ротовой полостью, рекомендует качественную зубную пасту. При стоматите, глоссите доктор назначает препараты, уменьшающие воспаление, подавляющие активность вредных микроорганизмов. Сочетается общая терапия с обработкой тканей антисептиками, лечебными гелями, отварами целебных трав;
- проблемы эндокринной системы. Нормализация гормонального фона, приём препаратов, восстанавливающих уровень гормонов. Контроль течения сахарного диабета;
- заболевания желудка. Приём антацидов, препаратов против Helicobacter Pilori, сорбентов, недостающих ферментов. Лечебная минеральная вода, диета, обработка ротовой полости противовоспалительными гелями, травяные отвары, сок алоэ для заживления эрозий;
- проникновение инфекционных агентов. Устранение очага воспаления, приём антибактериальных, противовирусных препаратов. При активизации дрожжевых грибов рекомендованы антимикотические средства. Обязателен приём средств, повышающих общий и местный иммунитет. Поливитамины, минеральные комплексы, полезные пищевые добавки усилят сопротивляемость организма;
- патологические изменения в различных органах. Если болезненность возникла по причине проблем внутри организма, обязательно требуется системное лечение. Эффективна местная обработка приём препаратов для терапии основного заболевания;
- микротравмы, ожоги языка. Откажитесь от продуктов, раздражающих нитевидные сосочки, сухариков, чипсов, травмирующих нежные ткани. Поменьше леденцов с острыми краями, вредными синтетическими красителями. Забудьте о только что сваренном первом блюде на 15 минут, подождите, пока чай/кофе немного остынет;
- аллергия на медикаменты. Врач назначит препараты схожего действия без компонентов, провоцирующих негативные проявления. Устранить симптомы аллергии поможет приём антигистаминных препаратов: Тавегила, Цетрина, Эриуса, Супрастина, Диазолина. Положительное влияние оказывают сорбенты, связывающие, удаляющие аллергены. Подойдёт Белый и активированный уголь, Энтеросгель, Полисорб.
Независимо от причины поражения тканей языка, на время лечения обязателен переход на мягкую, протёртую пищу. Блюда должны иметь умеренную температуру, не раздражать слизистые, нитевидные сосочки. Полезны протёртые супы, куриный бульон, фруктовый/ягодный кисель, картофельное пюре, паровые котлеты. Овощи отваривайте, протирайте, избегайте крупных кусков, косточек. Под запретом семечки, чипсы, сухарики.
Причины появления
Основные факторы, провоцирующие появление пигментации:
- аллергия на средства гигиены ротовой полости;
- раздражающая пища;
- курение;
- алкоголь;
- прикус;
- ношение брекетов;
- обезвоживание.
Такие пятна на языке появляются и исчезают при отсутствии на слизистую негативного воздействия. Гораздо сложнее ситуация с пигментацией, возникшей как следствие развивающегося патологического процесса. В постановке диагноза помогает цвет, форма и расположение сыпи.
Осложнения и последствия
Существуют некоторые нежелательные последствия развития такого состояния и осложнения онемения языка:
- Тяжёлые формы патологий органов пищеварения.
- Развитие онемения языка и потеря части его основных функций.
- Развитие реакций отторжения при употреблении в пищу горячего или холодного.
- Нарушения речи.
- Сложности с функцией данного органа при еде или питье.
- Развитие проблем с целостностью зубного ряда.
Хотите ознакомиться с инструкцией по применению свечей Вибуркола для детей при прорезывании зубов? Тогда вам необходимо перейти по ссылке. Какой самый эффективный антибиотик при пневмонии у взрослых, вы сможете прочесть по ссылке.
А узнать, каковы причины, симптомы и лечение привкуса крови во рту у женщин, вы сможете по следующей ссылке.
У корня
Если болит у корня языка рекомендуется постепенно выполнять некоторые упражнения из комплекса лечебной гимнастики.
Медленная разработка языковых мышц поможет исправить ситуацию и вызовет прилив необходимого объёма крови к основанию.
Впоследствии можно постараться восстановить полностью функции языка, включая двигательную и речевую.
Корневые боли также характерны для некоторых заболеваний ротовой области, которые излечиваются выполнением стандартного полоскания.
Классификация воспаления
Классифицируется воспаление слюнных желез под языком следующим образом:
| Признаки воспаления | Классификация |
| По этиологии |
|
| По воспалительному характеру |
|
| По форме заболевания |
|
| По локализации |
|
| По характеру заболевания |
Ниже представлено изображение – фото воспаления железы под языком
Лечение и препараты
Все вышеперечисленные симптомы требуют незамедлительного лечения. Для начала рассмотрим традиционные методы лечения таких симптомов.
Традиционная медицина
Так как чаще всего боль под языком возникает при травмировании уздечки, надо лечиться антисептическими препаратами:
- Стоматидин, он всем известен, у кого есть маленькие дети. Они часто болеют стоматитом, а стоматидин – самое распространенное лекарство от этой болезни. Это готовое к применению вещество, его не нужно разводить водой. В его состав входит гексидин, который применяется как антибактериальное и антисептическое средство;
- Хлорофилипт, это лекарство выпускают в виде спрея, как настойку. Спрей можно направлять на очаг болезни под языком и 2 раза впрыскивать. Настойкой с помощью ватной палочки нужно протирать ранку. Настойка разводится в соотношении 1:3 с водой. Это лекарство можно применять и при лечении детей;
- Ромазулан, спиртовая настойка концентрированной ромашки аптечной. Ее разводят на 1 литр воды 2 столовые ложки, полощут ротовую полость. Также подходит и детям;
- Йодинол, тут название раскрывает состав лекарства. Препарат готов к употреблению, им протирают болезненные участки под языком, может вызвать легкое жжение.
Народные средства
Параллельно с медикаментозным лечением или как самостоятельное лечение можно применять народные средства. Следует придерживаться определенной диеты, при которой ограничения в пище будет благотворно влиять на состояние ротовой полости в общем, не вызывать болезненные ощущения и не раздражать слизистую оболочку кислотами, которые содержатся во многих продуктах.
Из рациона больного необходимо исключить соленую, кислую пищу. Употреблять больше овощей и фруктов. Они очень хорошо воздействуют на зубы, десна, язык. Можно также купить в аптеке витамины для поддержания общего состояния организма, для поддержания иммунитета.
Помогут следующие средства:
- Настой из ромашки, ромашковый чай применяют при воспалительных процессах. Ромашка устраняет патогенную микрофлору.
- Раствор из соли, соды и воды за неимением под рукой целебных трав дают эффект не хуже предыдущего, физраствор также можно применять для полоскания полости рта.
- Примочки из перекиси водорода способствуют заживлению открытых ранок.
- Можно взять облепиховое масло, подержать его несколько минут во рту и сплюнуть. Это средство отлично справляется с заживлением ран, противодействует воспалению.
Истории наших читателей!
«Зубы стали очень чувствительны к холодному и горячему, сразу начиналась боль. Подруга посоветовала пасту с эффектом пломбирования. За неделю неприятные симптомы перестали беспокоить, зубы стали белее.
Через месяц заметила, что небольшие трещины выровнялись! Теперь у меня всегда свежее дыхание, ровные и белые зубки! Буду использовать для профилактики и поддержания результата. Советую.»
Обзор
Покалывание или онемение в языке может быть вызвано рядом различных состояний.
Чувство покалывания, онемения или уколов и игл обычно вызвано потерей ощущения от давления или повреждением нервов.
Человек может испытывать это ощущение после долгого сидения в неудобном положении или если он засыпает, опираясь на руку. Менее распространенным является ощущение покалывания в языке, которое обычно возникает в результате определенной процедуры или опыта, такого как аллергическая реакция.
Есть некоторые медицинские состояния, связанные с потерей чувствительности в языке, поэтому важно знать о предупредительных знаках для серьезных медицинских состояний, таких как инсульт.
Хотите белые и здоровые зубы?
Даже при тщательном уходе за зубами, со временем на них появляются пятна, они темнеют, желтеют.
Вдобавок, эмаль истончается и появляется чувствительность зубов к холодным, горячим, сладким продуктам или напиткам.
В таких случаях наши читатели рекомендуют использовать новейшее средство — зубную пасту Denta Seal с эффектом пломбирования.
Она обладает следующими свойствами:
- Выравнивает повреждения и заполняет микротрещины на поверхности эмали
- Эффективно удаляет зубной налет и препятствует образованию кариеса
- Возвращает зубам естественную белизну, гладкость и блеск
Дискомфорт и боли в районе уздечки
Язык, как и его уздечка, снабжены множеством нервных окончаний и кровотоков. Нижняя часть поверхности языка является более чувствительной, чем верхняя, так как она имеет более тонкую и нежную ткань. Все это способствует быстрому усвоению и впитыванию различных веществ, попадающих через рот, включая инфекцию.
Именно из-за своей чувствительности слизистая оболочка уздечки подвергается воздействию различных причинных факторов, проявляющихся в болевых ощущениях.
К ним в первую очередь можно отнести:
- Банальные физические травмы
Герпесмягких тканей полостей рта.
- Заболевание слюнной железы.
- Воспаление лимфатических узлов, связанных с различными заболеваниями, включая инфекционные.
- Аллергия на медицинские препараты и продукты питания.
- Глоссалгия, о которой говорилось выше.
- Анемия.
- Различные лишаи, а также часто встречающийся герпес.
- Вредные привычки, такие, как курение и употребление алкоголя.
Симптомы:
- Нарушение нормального приема пищи, с ощущением чего-то мешающего.
- Частое глубокое и неритмичное дыхание.
- Дисфункция речевого аппарата (неправильное произношение отдельных букв).
- Общий дискомфорт и изменение эстетики лица.
Сама уздечка болеть не может, но она способна передавать болезненные ощущения через свои многочисленные нервные окончания. Из-за этого у человека складывается ложное представление, что болит именно уздечка.
Видео от эксперта:
Почему может болеть под языком?
До того времени, пока медицина не набрала оборотов, на осмотре врач просил показать не только горло, но и высунуть язык. Раньше внешний вид языка мог, как считалось, рассказать про общее состояние пациента. Сейчас многое из прошлого опровергнуто, но некоторые показатели говорят правду до сих пор.
Так что даже простой человек, не знающий медицину, может осмотреть перед зеркалом свой язык и предварительно сделать для себя определенные выводы о состоянии своего здоровья:
- Увеличение языка может свидетельствовать о недостаточной работе щитовидной железы;
- Поверхность языка здорового человека розового цвета. Изменение цвета говорит о плохом или неправильном питании;
- После приема антибиотиков, алкоголя на языке может собраться белый налет, врач при осмотре таких симптомов знает, какие именно причины образования налета.
Читать также: Натрия тетраборат при стоматите у детей инструкция
С чем может быть связана боль:
- Боли, вызванные ангиной. Так, ангина – это не только воспаленное и болезненное горло, может болеть язык при глотании. При этом больному трудно кушать и даже разговаривать иногда приходится с трудом.
- При воспалениях зубов боль может распространиться, локализируясь не только возле больного зуба, но и, например, под языком. Распознать такие симптомы зачастую сложно, ведь когда болят зубы, кажется, что болит вся голова, и боль эта порой невыносима. Так что лучше при таких симптомах срочно пойти к стоматологу с острой болью и рассказать ему, что болит и под языком. Уж потом он решит, куда следует обратиться далее, каким специалистам.
- Периостит (воспаление), стоматит может вызвать осложнения, появиться боль под языком. В таком случае скопившийся гной вызывает сильные боли, у человека повышается температура тела, под языком видны очаги скопления гноя. В таком случае с походом к врачу нужно не медлить и помнить, что все гнойные процессы могут вызвать заражение крови, что чревато серьезными последствиями вплоть до летального исхода.
- Травма уздечки под языком. В жизни всякое бывает, можно поранить уздечку инородным телом, неаккуратно проводить гигиенические процедуры полости рта. В таких случаях повреждаются мягкие ткани, нервные окончания, сосуды, что может вызвать кровотечение. Следует немедленно пойти в больницу или поликлинику для оказания врачом первой помощи. При пирсинге языка также может возникнуть воспаление, даже если процедура проходила по всем медицинским правилам. Просто ротовая полость всегда увлажнена слюной и это не дает возможности ранке быстро зажить.
- Аллергическая реакция на прием некоторых медицинских препаратов, при болезни Квинке отекает язык и уздечка, что и вызывает боль под языком.
Профилактические рекомендации
Соблюдайте стандартные правила:
- тщательно очищайте зубной ряд, дёсны, язык от налёта;
- пользуйтесь качественными гигиеническими продуктами;
- чередуйте ополаскиватель со спиртом и без, чтобы не проявилось раздражение;
- аккуратно удаляйте налёт с языка: подходит ложка с неострыми краями или зубная щётка с ребристой поверхностью чистящей головки;
- откажитесь от употребления слишком горячих/холодных продуктов. Ожоги от чая, горячего супа регистрируются довольно часто. Вредит здоровью мягких тканей полости рта слишком острая, кислая пища, избыток сладостей и соли;
- следите за работой органов ЖКТ. При появлении изжоги, гнилостного запаха изо рта, болях в желудке обязательно обследуйтесь. Нелечённые болезни, особенно, при повышенной секреторной функции желудка – одна из причин эрозий во рту;
- регулярно проходите профосмотры у стоматолога, гастроэнтеролога, эндокринолога. При изменении цвета, состояния слизистой, языка, дёсен вовремя обращайтесь за помощью;
- не занимайтесь самолечением. Если нет возможности в течение дня – двух посетить врача, полощите болезненный участок отваром ромашки, шалфея, дубовой коры. При любом воспалении, травмировании тканей поможет сок или мякоть алоэ. Безопасные натуральные средства уменьшат воспаление, болезненность. При первой возможности посетите стоматолога.
Теперь вы знаете причины, симптомы, основные методы лечения болезненности боковой поверхности языка. При выявлении непонятных образований, воспалении нитевидных сосочков, покраснении тканей обратитесь за помощью к стоматологу. После осмотра врач подскажет, как действовать дальше.
Сбоку слева
Такие проблемы нередко случаются при травматическом повреждении языка.
Для устранения проблемы следует некоторое время выдержать его неподвижным и по возможности не разговаривать и не принимать пищу.
В таких случаях временное голодание пойдёт человеку на пользу и функции нормализуются в полном объёме.
Ищите информацию о том, сколько стоит установка импланта зуба под ключ? Тогда вам просто необходимо перейти по ссылке, и прочесть нашу статью. Если же вас интересует вопрос — как оформить возврат подоходного налога за лечение зубов, то мы советуем ознакомиться с информацией.
Виды глосситов и их домашнее лечение
Лечение каждого из видов глоссита будет отличаться, так как в их основе лежат совсем разные процессы. Распространенные формы воспаления языка – десквамативная, кандидозная, атрофическая:
- Кандидозная форма глоссита требует противогрибкового лечения и полноценной санации ротовой полости. Появление молочницы языка говорит о несоблюдении правил ухода за языком и всей ротовой полостью. Потому грибковый глоссит нужно лечить комплексно, предварительно посоветовавшись с врачом и проведя профессиональную чистку зубов. Можно пользоваться народными противовоспалительными, обеззараживающими, болеутоляющими средствами.
- Десквамативный глоссит требует проведения общеукрепляющей терапии, так как причиной этого заболевания выступает снижение иммунитета. Воспаление также необходимо снять, применяя медикаментозные препараты и рецепты для домашнего лечения: кора дуба, отвар ромашки, шалфея или календулы.
- Атрофический вид глоссита наиболее болезненный для человека, особенно маленького ребенка, потому лечить его нужно, начиная с применения обезболивающих препаратов. При этом заболевании сосочки языка атрофируются, изменяется вкус. Лечение народными средствами включает применение противовоспалительных трав и обезболивающих аппликаций.
Совет! При любой форме глоссита необходимо заняться улучшением гигиенического состояния ротовой полости, пользоваться интердентальными средствами и жидкостью для полоскания рта с антибактериальным эффектом.
Внешний осмотр
Внешний вид вашего органа для доктора как для военного топографическая карта, на которой все видно и все можно прочитать.
В Китае и на Тибете, в древнеиндийских канонических текстах Аюрведы состояние внутренних органов диагностируют по языковой «географической карте».
Как выглядит здоровый орган?
Отличительным визуальным признаком здорового органа является его розовато-бледный цвет, с характерной невоспаленной складкой вдоль наблюдаемой поверхности.
При шевелении языком нет ощущения какого-либо дискомфорта. Сосочки рельефные, различимые и не «шлифованные».
Как ни странно, но на языке слизистый налет может иметь сезонный окрас. Летом его становится чуть больше. Зимой же он (налет) может приобрести желтоватый оттенок, а к осени «подсушиться» и посветлеть – это нормально и пусть вас это не пугает.
В противном случае, когда происходит уплотнение налета, когда уже едва различима спинка – немедленно отправляйтесь к доктору, ибо это может быть сигналом развития различных заболеваний, в том числе и хронических.
Научитесь понимать цветовую гамму
Цвет – это коммуникатор общения с вами. Он, если хотите, является разговорной речью, с помощью которой ваш орган вещает о состоянии и проблемах всего организма.
Цветовая палитра заболеваний:
- Бардовый окрас сигналит о возможных инфекциях, таких как: грипп или корь.
- Нездоровая бледнота подскажет врачу о возможной патологии в крови, сердечном недуге, заболевании сосудов и неудовлетворительном питании, бедного витаминами.
- Фиолетовый – это тревожный знак, характеризующий не только возможное заболевание крови, но и дыхательных путей в целом.
- Серый и желтый цвет. Этот цвет визитная карточка не только заядлых курильщиков, но и при тяжелых заболеваниях, таких как желтуха или серьезные сбои в ЖКТ.
- Черный цвет. К сожалению, встречается и такой. Он приводит в ужас всех домочадцев. И это не ложная тревога, а весьма знаковый в негативном плане симптом. Он говорит, что печень или селезенка в опасности и ими стоит заняться всерьез. Кроме того, речь может идти о гнойных воспалительных процессах или различных вирусных заболеваниях.
- Синий окрас – теперь уже почки в опасности, немедленно приступайте к лечению.
- Голубоватый оттенок расскажет вам, что в организме нарушена циркуляция крови. А еще хуже прокричит о цинге или поражении тяжелыми металлами, в том числе и ртутью.
- Белый цвет сигналит об обезвоживании или при грибковых инфекциях в организме.
- Бурый покров присутствует при пародонтите, гингивите или кровотечении в ротовой полости.
Симптоматика
Болезненность сбоку языка нередко сопровождается появлением других признаков. В большинстве случаев на поражённом участке протекает сильный или слабый воспалительный процесс.
При дискомфорте проверьте, отмечены ли на поверхности или внутри мышечного органа ротовой полости следующие симптомы:
- краснота;
- язвочки во рту;
- эрозии;
- ранки;
- налет на языке;
- зуд;
- жжение;
- заметное увеличение нитевидных сосочков;
- припухлость/сильная отёчность краёв и других участков.
Какими препаратами лечить
Все лекарственные средства подбирает врач-стоматолог либо ЛОР. Боль в подъязычной зоне связана с патологиями различного характера, вирусными, грибковыми, бактериальными инфекциями.
Применение неподходящих либо слабых препаратов снижает эффективность терапии, провоцирует развитие резистентности патогенных микроорганизмов к компонентам лекарственных средств.
Оптимальные группы и наименования таблеток, гелей, мазей, растворов для полосканий, аэрозолей для горла и полости рта подбирает лечащий врач.
До уточнения результатов бакпосева назначают антибиотики широкого спектра действия, после получения данных теста, выявления вида возбудителя нужна замена препарата, если нет выраженного эффекта терапии.
Важно сочетать местные средства (гели, мази, составы для орошения горла, аппликаций в полости рта) с системными препаратами (противовирусными, противогрибковыми либо антибактериальными медикаментами). Уколы антибиотиков и глюкокортикостероидов внутримышечно либо внутривенно применяют реже: при развитии абсцесса, либо флегмоны, распространении инфекции с лимфой и кровью по организму.
Хороший эффект для заживления области под языком и других проблемных участков полости рта дают физиопроцедуры. При обширном воспалении нельзя прогревать пораженный участок: тепло активизирует распространение патогенных микроорганизмов.
Фото ↑
Как выглядит больной язык, можно ознакомиться на фото.
Фото: Рак языка
Фото: Травмы языка вследствие прикусывания
Фото: Стоматит на языке






































